Rabbit anti-Human POLR2A Polyclonal Antibody
Beta LifeScience
SKU/CAT #: BLC-00006A
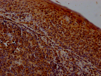
IHC image of the antibody diluted at 1:400 and staining in paraffin-embedded human tonsil tissue performed on a Leica BondTM system. After dewaxing and hydration, antigen retrieval was mediated by high pressure in a citrate buffer (pH 6.0). Section was blocked with 10% normal goat serum 30min at RT. Then primary antibody (1% BSA) was incubated at 4°C overnight. The primary is detected by a Goat anti-rabbit polymer IgG labeled by HRP and visualized using 0.05% DAB.
IHC image of POLR2A Antibody diluted at 1:400 and staining in paraffin-embedded human testis tissue performed on a Leica BondTM system. After dewaxing and hydration, antigen retrieval was mediated by high pressure in a citrate buffer (pH 6.0). Section was blocked with 10% normal goat serum 30min at RT. Then primary antibody (1% BSA) was incubated at 4°C overnight. The primary is detected by a Goat anti-rabbit polymer IgG labeled by HRP and visualized using 0.05% DAB.
Immunofluorescence staining of Hela cells with POLR2A Antibody at 1:100, counter-stained with DAPI. The cells were fixed in 4% formaldehyde and blocked in 10% normal Goat Serum. The cells were then incubated with the antibody overnight at 4°C. The secondary antibody was Alexa Fluor 488-congugated AffiniPure Goat Anti-Rabbit IgG(H+L).
Rabbit anti-Human POLR2A Polyclonal Antibody
Beta LifeScience
SKU/CAT #: BLC-00006A
Our products are highly customizable to meet your specific needs. You can choose options such as endotoxin removal, liquid or lyophilized forms, preferred tags, and the desired functional sequence range for proteins. Submitting a written inquiry expedites the quoting process.
Product Overview
| Product Title | Rabbit anti-Human POLR2A Polyclonal Antibody |
| Description | The antibody against POLR2A was raised in rabbit using the Recombinant Human DNA-directed RNA polymerase II subunit RPB1 protein (76-298AA) as the immunogen. This antibody exists as a non-conjugated isotype IgG, purified by protein G with a purity greater than 95%. This antibody has been validated on ELISA, IHC, IF. |
| Uniprot Id - Alink | P24928 |
| Host Species | Rabbit |
| Reactivity | Human |
| Target Name | POLR2A |
| Target Synonyms | DNA directed RNA polymerase II A antibody; DNA-directed RNA polymerase II largest subunit RNA polymerase II 220 kd subunit antibody; DNA-directed RNA polymerase II subunit A antibody; DNA-directed RNA polymerase II subunit RPB1 antibody; DNA-directed RNA polymerase III largest subunit antibody; hRPB220 antibody; hsRPB1 antibody; POLR2 antibody; Polr2a antibody; POLRA antibody; Polymerase (RNA) II (DNA directed) polypeptide A 220kDa antibody; Polymerase (RNA) II (DNA directed) polypeptide A antibody; RNA polymerase II subunit B1 antibody; RNA-directed RNA polymerase II subunit RPB1 antibody; RPB1 antibody; RPB1_HUMAN antibody; RPBh1 antibody; RpIILS antibody; RPO2 antibody; RPOL2 antibody |
| Immunogen Description | Recombinant Human DNA-directed RNA polymerase II subunit RPB1 protein (76-298AA) |
| Immunogen Species | Human |
| Immunogen Sequence | Complete sequences for the immunogen, target protein, and peptides are available upon request. |
| Conjugate | Non-conjugated |
| Clonality | Polyclonal |
| Isotype | IgG |
| Purification Method | >95%, Protein G purified |
| Buffer | 0.03% Proclin 300Constituents: 50% Glycerol, 0.01M PBS, PH 7.4 |
| Form | Liquid |
| Application | ELISA, IHC, IF |
| Storage Conditions | Upon receipt, store at -20°C or -80°C. Avoid repeated freeze. |
