Rabbit anti-Human NPHS1 Polyclonal Antibody
Beta LifeScience
SKU/CAT #: BLC-05969A
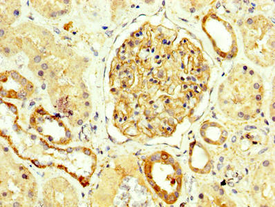
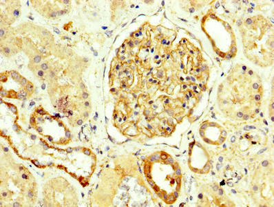
IHC image of the antibody diluted at 1:250 and staining in paraffin-embedded human kidney tissue performed on a Leica BondTM system. After dewaxing and hydration, antigen retrieval was mediated by high pressure in a citrate buffer (pH 6.0). Section was blocked with 10% normal goat serum 30min at RT. Then primary antibody (1% BSA) was incubated at 4°C overnight. The primary is detected by a biotinylated secondary antibody and visualized using an HRP conjugated SP system.
Western Blot | Positive WB detected in: Jurkat whole cell lysate | All lanes: NPHS1 antibody at 5.6µg/ml | Secondary | Goat polyclonal to rabbit IgG at 1/50000 dilution | Predicted band size: 135, 131 kDa | Observed band size: 135 kDa
Immunofluorescence staining of HepG2 cells with NPHS1 Antibody at 1:125, counter-stained with DAPI. The cells were fixed in 4% formaldehyde, permeabilized using 0.2% Triton X-100 and blocked in 10% normal Goat Serum. The cells were then incubated with the antibody overnight at 4°C. The secondary antibody was Alexa Fluor 488-congugated AffiniPure Goat Anti-Rabbit IgG(H+L).
Rabbit anti-Human NPHS1 Polyclonal Antibody
Beta LifeScience
SKU/CAT #: BLC-05969A
Our products are highly customizable to meet your specific needs. You can choose options such as endotoxin removal, liquid or lyophilized forms, preferred tags, and the desired functional sequence range for proteins. Submitting a written inquiry expedites the quoting process.
Product Overview
| Product Title | Rabbit anti-Human NPHS1 Polyclonal Antibody |
| Description | The antibody against NPHS1 was raised in rabbit using the Recombinant Human Nephrin protein (23-257AA) as the immunogen. This antibody exists as a non-conjugated isotype IgG, purified by protein G with a purity greater than 95%. This antibody has been validated on ELISA, WB, IHC, IF. |
| Uniprot Id - Alink | O60500 |
| Host Species | Rabbit |
| Reactivity | Human |
| Target Name | NPHS1 |
| Target Synonyms | CNF antibody; Nephrin antibody; Nephrosis 1 congenital Finnish type antibody; Nephrosis 1, congenital, Finnish type (nephrin) antibody; NPHN antibody; NPHN_HUMAN antibody; NPHS 1 antibody; Nphs1 antibody; Renal glomerulus specific cell adhesion receptor antibody; Renal glomerulus-specific cell adhesion receptor antibody |
| Immunogen Description | Recombinant Human Nephrin protein (23-257AA) |
| Immunogen Species | Human |
| Immunogen Sequence | Complete sequences for the immunogen, target protein, and peptides are available upon request. |
| Conjugate | Non-conjugated |
| Clonality | Polyclonal |
| Isotype | IgG |
| Purification Method | >95%, Protein G purified |
| Buffer | 0.03% Proclin 300Constituents: 50% Glycerol, 0.01M PBS, PH 7.4 |
| Form | Liquid |
| Application | ELISA, WB, IHC, IF |
| Storage Conditions | Upon receipt, store at -20°C or -80°C. Avoid repeated freeze. |
