Rabbit anti-Human KRT20 Polyclonal Antibody
Beta LifeScience
SKU/CAT #: BLC-00042A
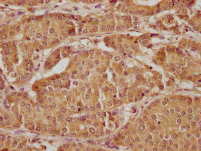
IHC image of the antibody diluted at 1:300 and staining in paraffin-embedded human gastric cancer performed on a Leica BondTM system. After dewaxing and hydration, antigen retrieval was mediated by high pressure in a citrate buffer (pH 6.0). Section was blocked with 10% normal goat serum 30min at RT. Then primary antibody (1% BSA) was incubated at 4°C overnight. The primary is detected by a biotinylated secondary antibody and visualized using an HRP conjugated SP system.
Immunofluorescence staining of Hela cells with KRT20 Antibody at 1:100, counter-stained with DAPI. The cells were fixed in 4% formaldehyde, permeabilized using 0.2% Triton X-100 and blocked in 10% normal Goat Serum. The cells were then incubated with the antibody overnight at 4°C. The secondary antibody was Alexa Fluor 488-congugated AffiniPure Goat Anti-Rabbit IgG(H+L).
Western Blot | Positive WB detected in: COLO320 whole cell lysate, MCF-7 whole cell lysate, Hela whole cell lysate | All lanes: KRT20 antibody at 1:2000 | Secondary | Goat polyclonal to rabbit IgG at 1/50000 dilution | Predicted band size: 49 kDa | Observed band size: 49 kDa
Rabbit anti-Human KRT20 Polyclonal Antibody
Beta LifeScience
SKU/CAT #: BLC-00042A
Our products are highly customizable to meet your specific needs. You can choose options such as endotoxin removal, liquid or lyophilized forms, preferred tags, and the desired functional sequence range for proteins. Submitting a written inquiry expedites the quoting process.
Product Overview
| Product Title | Rabbit anti-Human KRT20 Polyclonal Antibody |
| Description | The antibody against KRT20 was raised in rabbit using the Recombinant Human Keratin, type I cytoskeletal 20 protein (207-424AA) as the immunogen. This antibody exists as a non-conjugated isotype IgG, purified by protein G with a purity greater than 95%. This antibody has been validated on ELISA, WB, IHC, IF. |
| Uniprot Id - Alink | P35900 |
| Host Species | Rabbit |
| Reactivity | Human |
| Target Name | KRT20 |
| Target Synonyms | CD20 antibody; CK 20 antibody; CK-20 antibody; CK20 antibody; Cytokeratin-20 antibody; Cytokeratin20 antibody; K1C20_HUMAN antibody; K20 antibody; KA20 antibody; Keratin 20 antibody; keratin 20, type I antibody; keratin 21, rat, homolog of antibody; Keratin antibody; Keratin type I cytoskeletal 20 antibody; Keratin-20 antibody; Keratin20 antibody; KRT 20 antibody; KRT 21 antibody; KRT20 antibody; KRT21 antibody; MGC35423 antibody; OTTHUMP00000164518 antibody; Protein IT antibody; type I cytoskeletal 20 antibody |
| Immunogen Description | Recombinant Human Keratin, type I cytoskeletal 20 protein (207-424AA) |
| Immunogen Species | Human |
| Immunogen Sequence | Complete sequences for the immunogen, target protein, and peptides are available upon request. |
| Conjugate | Non-conjugated |
| Clonality | Polyclonal |
| Isotype | IgG |
| Purification Method | >95%, Protein G purified |
| Buffer | 0.03% Proclin 300Constituents: 50% Glycerol, 0.01M PBS, pH 7.4 |
| Form | Liquid |
| Application | ELISA, WB, IHC, IF |
| Storage Conditions | Upon receipt, store at -20°C or -80°C. Avoid repeated freeze. |
