Phospho-NFE2L2 (S40) Recombinant Monoclonal Antibody
Beta LifeScience
SKU/CAT #: BLC-06493A
Western Blot | Positive WB detected in HepG2 whole cell lysate,293 whole cell lysate(treated with Calyculin A or EGF) | All lanes Phospho-NFE2L2 antibody at 0.8μg/ml | Secondary | Goat polyclonal to rabbit IgG at 1/50000 dilution | Predicted band size: 90 KDa | Observed band size: 90 KDa
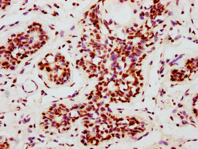
IHC image of the antibody diluted at 1:100 and staining in paraffin-embedded human breast cancer performed on a Leica BondTM system. After dewaxing and hydration, antigen retrieval was mediated by high pressure in a citrate buffer (pH 6.0). Section was blocked with 10% normal goat serum 30min at RT. Then primary antibody (1% BSA) was incubated at 4℃ overnight. The primary is detected by a biotinylated secondary antibody and visualized using an HRP conjugated SP system.
Immunofluorescence staining of Hela cells with Phospho-NFE2L2 (S40) Recombinant Monoclonal Antibody at 1:100,counter-stained with DAPI. The cells were fixed in 4% formaldehyde, permeabilized using 0.2% Triton X-100 and blocked in 10% normal Goat Serum. The cells were then incubated with the antibody overnight at 4℃. The secondary antibody was Alexa Fluor 488-congugated AffiniPure Goat Anti-Rabbit IgG (H+L).
Phospho-NFE2L2 (S40) Recombinant Monoclonal Antibody
Beta LifeScience
SKU/CAT #: BLC-06493A
Our products are highly customizable to meet your specific needs. You can choose options such as endotoxin removal, liquid or lyophilized forms, preferred tags, and the desired functional sequence range for proteins. Submitting a written inquiry expedites the quoting process.
Product Overview
| Product Title | Phospho-NFE2L2 (S40) Recombinant Monoclonal Antibody |
| Description | The recombinant antibody against NFE2L2 was produced using a synthesized peptide derived from Human Phospho-NFE2L2 (S40) as the immunogen. This antibody exists as a non-conjugated isotype Rabbit IgG, Affinity-chromatography purified. This antibody has been validated on ELISA, WB, IHC, IF. |
| Uniprot Id - Alink | Q16236 |
| Reactivity | Human |
| Target Name | NFE2L2 |
| Target Synonyms | erythroid derived 2 antibody; HEBP1 antibody; like 2 antibody; NF E2 related factor 2 antibody; NF-E2-related factor 2 antibody; NF2L2_HUMAN antibody; NFE2 related factor 2 antibody; NFE2-related factor 2 antibody; Nfe2l2 antibody; Nrf 2 antibody; NRF2 antibody; Nuclear factor (erythroid derived 2) like 2 antibody; Nuclear factor antibody; nuclear factor erythroid 2 like 2 antibody; Nuclear factor erythroid 2 related factor 2 antibody; Nuclear factor erythroid 2-related factor 2 antibody; Nuclear factor erythroid derived 2 like 2 antibody |
| Immunogen Description | A synthesized peptide derived from Human Phospho-NFE2L2 (S40) |
| Immunogen Species | Human |
| Immunogen Sequence | Complete sequences for the immunogen, target protein, and peptides are available upon request. |
| Conjugate | Non-conjugated |
| Clonality | Monoclonal |
| Isotype | Rabbit IgG |
| Purification Method | Affinity-chromatography purified |
| Buffer | Rabbit IgG in phosphate buffered saline , pH 7.4, 150mM NaCl, 0.02% sodium azide and 50% glycerol. |
| Form | Liquid |
| Application | ELISA, WB, IHC, IF |
| Storage Conditions | Upon receipt, store at -20°C or -80°C. Avoid repeated freeze. |
