Rabbit anti-Human TP53 Polyclonal Antibody
Beta LifeScience
SKU/CAT #: BLC-05613A
Western blot analysis of extracts from Hela cells using p53(Phospho-Ser315) Antibody(Lane 2) and the same antibody preincubated with blocking peptide(Lane1).
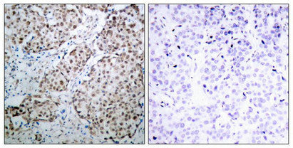
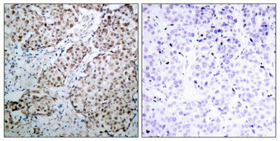
Immunohistochemical analysis of paraffin-embedded human breast carcinoma tissue using p53(Phospho-Ser315) Antibody(left) or the same antibody preincubated with blocking peptide(right).
Immunofluorescence staining of methanol-fixed Hela cells using p53(Phospho-Ser315) Antibody.
Rabbit anti-Human TP53 Polyclonal Antibody
Beta LifeScience
SKU/CAT #: BLC-05613A
Our products are highly customizable to meet your specific needs. You can choose options such as endotoxin removal, liquid or lyophilized forms, preferred tags, and the desired functional sequence range for proteins. Submitting a written inquiry expedites the quoting process.
Product Overview
| Product Title | Rabbit anti-Human TP53 Polyclonal Antibody |
| Description | The antibody against TP53 was raised in rabbit using the Peptide sequence around phosphorylation site of serine 315 (S-S-S(p)-P-Q) derived from Human p53. as the immunogen. Antibodies were produced by immunizing rabbits with synthetic phosphopeptide and KLH conjugates. Antibodies were purified by affinity-chromatography using epitope-specific phosphopeptide. Non-phospho specific antibodies were removed by chromatogramphy usi This antibody has been validated on ELISA, WB, IHC, IF. |
| Uniprot Id - Alink | P04637 |
| Host Species | Rabbit |
| Reactivity | Human |
| Target Name | TP53 |
| Target Synonyms | Antigen NY-CO-13 antibody; BCC7 antibody; Cellular tumor antigen p53 antibody; FLJ92943 antibody; LFS1 antibody; Mutant tumor protein 53 antibody; p53 antibody; p53 tumor suppressor antibody; P53_HUMAN antibody; Phosphoprotein p53 antibody; Tp53 antibody; Transformation related protein 53 antibody; TRP53 antibody; tumor antigen p55 antibody; Tumor protein 53 antibody; Tumor protein p53 antibody; Tumor suppressor p53 antibody |
| Immunogen Description | Peptide sequence around phosphorylation site of serine 315 (S-S-S(p)-P-Q) derived from Human p53. |
| Immunogen Species | Human |
| Immunogen Sequence | Complete sequences for the immunogen, target protein, and peptides are available upon request. |
| Clonality | Polyclonal |
| Purification Method | Antibodies were produced by immunizing rabbits with synthetic phosphopeptide and KLH conjugates. Antibodies were purified by affinity-chromatography using epitope-specific phosphopeptide. Non-phospho specific antibodies were removed by chromatogramphy usi |
| Buffer | Supplied at 1.0mg/mL in phosphate buffered saline (without Mg2+ and Ca2+), pH 7.4, 150mM NaCl, 0.02% sodium azide and 50% glycerol. |
| Form | Liquid |
| Application | ELISA, WB, IHC, IF |
| Storage Conditions | Upon receipt, store at -20°C or -80°C. Avoid repeated freeze. |
