Rabbit anti-Human TNNT2 Polyclonal Antibody
Beta LifeScience
SKU/CAT #: BLC-06057A
Western Blot | Positive WB detected in: Mouse skeletal muscle tissue | All lanes: TNNT2 antibody at 4µg/ml | Secondary | Goat polyclonal to rabbit IgG at 1/50000 dilution | Predicted band size: 36, 35, 32, 31 kDa | Observed band size: 36, 32 kDa
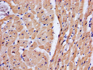
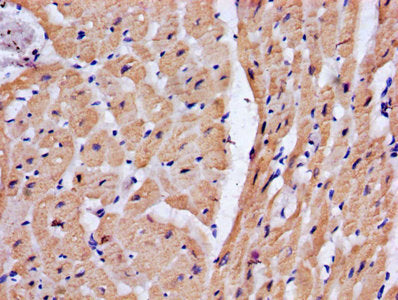
IHC image of TNNT2 Antibody diluted at 1:200 and staining in paraffin-embedded human heart tissue performed on a Leica BondTM system. After dewaxing and hydration, antigen retrieval was mediated by high pressure in a citrate buffer (pH 6.0). Section was blocked with 10% normal goat serum 30min at RT. Then primary antibody (1% BSA) was incubated at 4°C overnight. The primary is detected by a biotinylated secondary antibody and visualized using an HRP conjugated SP system.
Immunofluorescence staining of Hela cells with TNNT2 Antibody at 1:66, counter-stained with DAPI. The cells were fixed in 4% formaldehyde, permeabilized using 0.2% Triton X-100 and blocked in 10% normal Goat Serum. The cells were then incubated with the antibody overnight at 4°C. The secondary antibody was Alexa Fluor 488-congugated AffiniPure Goat Anti-Rabbit IgG(H+L).
Rabbit anti-Human TNNT2 Polyclonal Antibody
Beta LifeScience
SKU/CAT #: BLC-06057A
Our products are highly customizable to meet your specific needs. You can choose options such as endotoxin removal, liquid or lyophilized forms, preferred tags, and the desired functional sequence range for proteins. Submitting a written inquiry expedites the quoting process.
Product Overview
| Product Title | Rabbit anti-Human TNNT2 Polyclonal Antibody |
| Description | The antibody against TNNT2 was raised in rabbit using the Recombinant Human Troponin T, cardiac muscle protein (138-298AA) as the immunogen. This antibody exists as a non-conjugated isotype IgG, purified by protein G with a purity greater than 95%. This antibody has been validated on ELISA, WB, IHC, IF. |
| Uniprot Id - Alink | P45379 |
| Host Species | Rabbit |
| Reactivity | Human, Mouse |
| Target Name | TNNT2 |
| Target Synonyms | Cardiac muscle troponin T antibody; Cardiomyopathy dilated 1D (autosomal dominant) antibody; Cardiomyopathy hypertrophic 2 antibody; CMD1D antibody; CMH2 antibody; CMPD2 antibody; cTnT antibody; LVNC6 antibody; MGC3889 antibody; OTTHUMP00000033864 antibody; OTTHUMP00000033865 antibody; OTTHUMP00000033866 antibody; OTTHUMP00000033867 antibody; OTTHUMP00000033870 antibody; OTTHUMP00000218095 antibody; RCM3 antibody; TNNT 2 antibody; TNNT2 antibody; TNNT2_HUMAN antibody; TnTc antibody; Troponin T cardiac muscle antibody; Troponin T type 2 (cardiac) antibody; Troponin T type 2 cardiac antibody; Troponin T, cardiac muscle antibody; Troponin T2 cardiac antibody |
| Immunogen Description | Recombinant Human Troponin T, cardiac muscle protein (138-298AA) |
| Immunogen Species | Human |
| Immunogen Sequence | Complete sequences for the immunogen, target protein, and peptides are available upon request. |
| Conjugate | Non-conjugated |
| Clonality | Polyclonal |
| Isotype | IgG |
| Purification Method | >95%, Protein G purified |
| Buffer | 0.03% Proclin 300Constituents: 50% Glycerol, 0.01M PBS, PH 7.4 |
| Form | Liquid |
| Application | ELISA, WB, IHC, IF |
| Storage Conditions | Upon receipt, store at -20°C or -80°C. Avoid repeated freeze. |
