Rabbit anti-Human TNNI3 Polyclonal Antibody
Beta LifeScience
SKU/CAT #: BLC-04778A
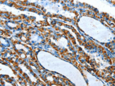
The image on the left is immunohistochemistry of paraffin-embedded Human thyroid cancer tissue using the antibody Antibody) at dilution 1/20, on the right is treated with fusion protein. (Original magnification: ×200)
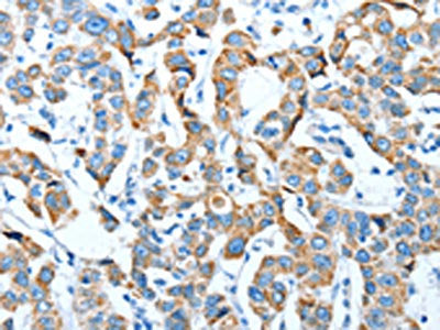
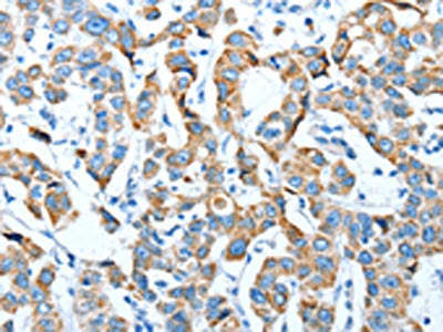
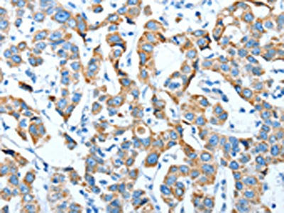
The image on the left is immunohistochemistry of paraffin-embedded Human breast cancer tissue using TNNI3 Antibody(TNNI3 Antibody) at dilution 1/20, on the right is treated with fusion protein. (Original magnification: ×200)
Gel: 12%SDS-PAGE, Lysate: 40 μg, Lane: Mouse heart tissue, Primary antibody: TNNI3 Antibody(TNNI3 Antibody) at dilution 1/200, Secondary antibody: Goat anti rabbit IgG at 1/8000 dilution, Exposure time: 10 seconds
Rabbit anti-Human TNNI3 Polyclonal Antibody
Beta LifeScience
SKU/CAT #: BLC-04778A
Our products are highly customizable to meet your specific needs. You can choose options such as endotoxin removal, liquid or lyophilized forms, preferred tags, and the desired functional sequence range for proteins. Submitting a written inquiry expedites the quoting process.
Product Overview
| Product Title | Rabbit anti-Human TNNI3 Polyclonal Antibody |
| Description | The antibody against TNNI3 was raised in rabbit using the Fusion protein of Human TNNI3 as the immunogen. This antibody exists as a non-conjugated isotype IgG, Antigen affinity purified. This antibody has been validated on ELISA, WB, IHC. |
| Uniprot Id - Alink | P19429 |
| Host Species | Rabbit |
| Reactivity | Human, Mouse, Rat |
| Target Name | TNNI3 |
| Target Synonyms | cardiac muscle antibody; Cardiac troponin I antibody; cardiomyopathy; dilated 2A (autosomal recessive) antibody; Cardiomyopathy; familial hypertrophic; 7; included antibody; CMD1FF antibody; CMD2A antibody; CMH7 antibody; cTnI antibody; Familial hypertrophic cardiomyopathy 7 antibody; MGC116817 antibody; RCM1 antibody; Tn1 antibody; Tni antibody; TNN I3 antibody; TNNC 1 antibody; TNNC1 antibody; TNNI3 antibody; TNNI3_HUMAN antibody; Troponin I antibody; Troponin I cardiac antibody; Troponin I cardiac muscle antibody; Troponin I cardiac muscle isoform antibody; Troponin I type 3 cardiac antibody; troponin I; cardiac 3 antibody; TroponinI antibody; Ttroponin I type 3 (cardiac) antibody |
| Immunogen Description | Fusion protein of Human TNNI3 |
| Immunogen Species | Human |
| Immunogen Sequence | Complete sequences for the immunogen, target protein, and peptides are available upon request. |
| Conjugate | Non-conjugated |
| Clonality | Polyclonal |
| Isotype | IgG |
| Purification Method | Antigen affinity purified |
| Buffer | pH7.4 PBS, 0.05% NaN3, 40% Glycerol |
| Form | Liquid |
| Application | ELISA, WB, IHC |
| Storage Conditions | Upon receipt, store at -20°C or -80°C. Avoid repeated freeze. |
