FAQs
Please fill out the Online Inquiry form located on the product page. Key product information has been pre-populated. You may also email your questions and inquiry requests to sales1@betalifesci.com. We will do our best to get back to you within 4 business hours.
Feel free to use the Chat function to initiate a live chat. Our customer representative can provide you with a quote immediately.
Proteins are sensitive to heat, and freeze-drying can preserve the activity of the majority of proteins. It improves protein stability, extends storage time, and reduces shipping costs. However, freeze-drying can also lead to the loss of the active portion of the protein and cause aggregation and denaturation issues. Nonetheless, these adverse effects can be minimized by incorporating protective agents such as stabilizers, additives, and excipients, and by carefully controlling various lyophilization conditions.
Commonly used protectant include saccharides, polyols, polymers, surfactants, some proteins and amino acids etc. We usually add 8% (mass ratio by volume) of trehalose and mannitol as lyoprotectant. Trehalose can significantly prevent the alter of the protein secondary structure, the extension and aggregation of proteins during freeze-drying process; mannitol is also a universal applied protectant and fillers, which can reduce the aggregation of certain proteins after lyophilization.
Our protein products do not contain carrier protein or other additives (such as bovine serum albumin (BSA), human serum albumin (HSA) and sucrose, etc., and when lyophilized with the solution with the lowest salt content, they often cannot form A white grid structure, but a small amount of protein is deposited in the tube during the freeze-drying process, forming a thin or invisible transparent protein layer.
Reminder: Before opening the tube cap, we recommend that you quickly centrifuge for 20-30 seconds in a small centrifuge, so that the protein attached to the tube cap or the tube wall can be aggregated at the bottom of the tube. Our quality control procedures ensure that each tube contains the correct amount of protein, and although sometimes you can't see the protein powder, the amount of protein in the tube is still very precise.
To learn more about how to properly dissolve the lyophilized recombinant protein, please visit Lyophilization FAQs.
Online Inquiry
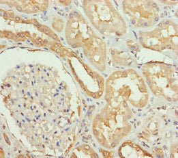
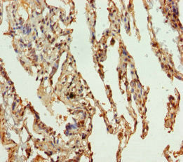
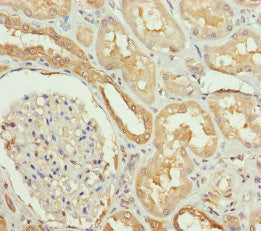
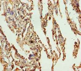
Inquire the Rabbit anti-Human SLC34A1 Polyclonal Antibody by filling out the form below. We’ll get back to you within 24 hours with a quote.
