Rabbit anti-Human PPP2CA Polyclonal Antibody
Beta LifeScience
SKU/CAT #: BLC-03914A
The image on the left is immunohistochemistry of paraffin-embedded Human thyroid cancer tissue using the antibody Antibody) at dilution 1/35, on the right is treated with fusion protein. (Original magnification: ×200)
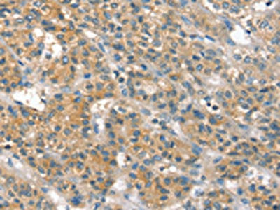
The image on the left is immunohistochemistry of paraffin-embedded Human liver cancer tissue using PPP2CA Antibody(PPP2CA Antibody) at dilution 1/35, on the right is treated with fusion protein. (Original magnification: ×200)
Gel: 10%SDS-PAGE, Lysate: 40 μg, Lane: Mouse brain tissue, Primary antibody: PPP2CA Antibody(PPP2CA Antibody) at dilution 1/450, Secondary antibody: Goat anti rabbit IgG at 1/8000 dilution, Exposure time: 20 seconds
Rabbit anti-Human PPP2CA Polyclonal Antibody
Beta LifeScience
SKU/CAT #: BLC-03914A
Our products are highly customizable to meet your specific needs. You can choose options such as endotoxin removal, liquid or lyophilized forms, preferred tags, and the desired functional sequence range for proteins. Submitting a written inquiry expedites the quoting process.
Product Overview
| Product Title | Rabbit anti-Human PPP2CA Polyclonal Antibody |
| Description | The antibody against PPP2CA was raised in rabbit using the Fusion protein of Human PPP2CA as the immunogen. This antibody exists as a non-conjugated isotype IgG, Antigen affinity purified. This antibody has been validated on ELISA, WB, IHC. |
| Uniprot Id - Alink | P67775 |
| Host Species | Rabbit |
| Reactivity | Human, Mouse, Rat |
| Target Name | PPP2CA |
| Target Synonyms | PP2A A antibody; PP2A alpha antibody; PP2A B antibody; PP2A beta antibody; PP2A-alpha antibody; PP2A-beta antibody; PP2AA_HUMAN antibody; PP2Aalpha antibody; PP2AB_HUMAN antibody; PP2Abeta antibody; PP2Ac antibody; PP2CA antibody; PP2Calpha antibody; PP2CB antibody; PPP2CA antibody; PPP2CB antibody; Protein phosphatase 2 catalytic subunit alpha isoform antibody; Protein phosphatase 2 catalytic subunit beta isoform antibody; Protein phosphatase type 2A catalytic subunit antibody; Replication protein C antibody; RP C antibody; RP-C antibody; RPC antibody; Serine/threonine protein phosphatase 2A catalytic subunit alpha isoform antibody; Serine/threonine protein phosphatase 2A catalytic subunit beta isoform antibody; Serine/threonine-protein phosphatase 2A catalytic subunit alpha isoform antibody |
| Immunogen Description | Fusion protein of Human PPP2CA |
| Immunogen Species | Human |
| Immunogen Sequence | Complete sequences for the immunogen, target protein, and peptides are available upon request. |
| Conjugate | Non-conjugated |
| Clonality | Polyclonal |
| Isotype | IgG |
| Purification Method | Antigen affinity purified |
| Buffer | pH7.4 PBS, 0.05% NaN3, 40% Glycerol |
| Form | Liquid |
| Application | ELISA, WB, IHC |
| Storage Conditions | Upon receipt, store at -20°C or -80°C. Avoid repeated freeze. |
