Rabbit anti-Human PIN4 Polyclonal Antibody
Beta LifeScience
SKU/CAT #: BLC-00390A
Western Blot | Positive WB detected in: 293T whole cell lysate, RAW264.7 whole cell lysate, HepG2 whole cell lysate, Rat liver tissue, Mouse liver tissue | All lanes: PIN4 antibody at 5µg/ml | Secondary | Goat polyclonal to rabbit IgG at 1/50000 dilution | Predicted band size: 14, 17 kDa | Observed band size: 14 kDa
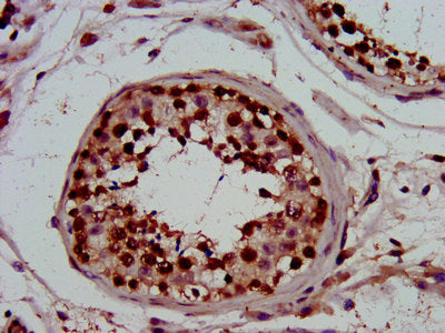
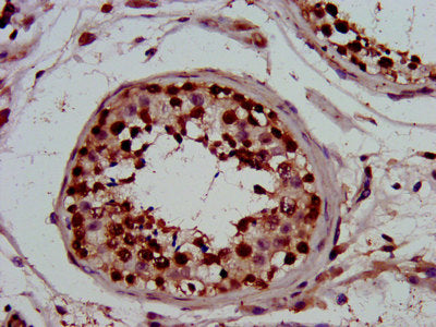
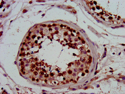
IHC image of PIN4 Antibody diluted at 1:800 and staining in paraffin-embedded human testis tissue performed on a Leica BondTM system. After dewaxing and hydration, antigen retrieval was mediated by high pressure in a citrate buffer (pH 6.0). Section was blocked with 10% normal goat serum 30min at RT. Then primary antibody (1% BSA) was incubated at 4°C overnight. The primary is detected by a biotinylated secondary antibody and visualized using an HRP conjugated SP system.
Immunofluorescence staining of HepG2 cells with PIN4 Antibody at 1:266, counter-stained with DAPI. The cells were fixed in 4% formaldehyde, permeabilized using 0.2% Triton X-100 and blocked in 10% normal Goat Serum. The cells were then incubated with the antibody overnight at 4°C. The secondary antibody was Alexa Fluor 488-congugated AffiniPure Goat Anti-Rabbit IgG(H+L).
Rabbit anti-Human PIN4 Polyclonal Antibody
Beta LifeScience
SKU/CAT #: BLC-00390A
Our products are highly customizable to meet your specific needs. You can choose options such as endotoxin removal, liquid or lyophilized forms, preferred tags, and the desired functional sequence range for proteins. Submitting a written inquiry expedites the quoting process.
Product Overview
| Product Title | Rabbit anti-Human PIN4 Polyclonal Antibody |
| Description | The antibody against PIN4 was raised in rabbit using the Recombinant Human Peptidyl-prolyl cis-trans isomerase NIMA-interacting 4 protein (1-131AA) as the immunogen. This antibody exists as a non-conjugated isotype IgG, purified by protein G with a purity greater than 95%. This antibody has been validated on ELISA, WB, IHC, IF. |
| Uniprot Id - Alink | Q9Y237 |
| Host Species | Rabbit |
| Reactivity | Human, Mouse, Rat |
| Target Name | PIN4 |
| Target Synonyms | EPVH antibody; Eukaryotic parvulin homolog antibody; hEPVH antibody; hPar14 antibody; hPar17 antibody; MGC138486 antibody; OTTHUMP00000023527 antibody; OTTHUMP00000217483 antibody; OTTHUMP00000217485 antibody; Par14 antibody; Par17 antibody; Parvulin 14 antibody; Parvulin-14 antibody; Parvulin-17 antibody; Peptidyl prolyl cis trans isomerase NIMA interacting 4 antibody; Peptidyl prolyl cis/trans isomerase EPVH antibody; Peptidyl-prolyl cis-trans isomerase NIMA-interacting 4 antibody; Peptidyl-prolyl cis-trans isomerase PIN4 antibody; Peptidyl-prolyl cis/trans isomerase EPVH antibody; PIN4 antibody; PIN4_HUMAN antibody; PPIase Pin4 antibody; Protein (peptidylprolyl cis/trans isomerase) NIMA interacting, 4 (parvulin) antibody; Rotamase Pin4 antibody |
| Immunogen Description | Recombinant Human Peptidyl-prolyl cis-trans isomerase NIMA-interacting 4 protein (1-131AA) |
| Immunogen Species | Human |
| Immunogen Sequence | Complete sequences for the immunogen, target protein, and peptides are available upon request. |
| Conjugate | Non-conjugated |
| Clonality | Polyclonal |
| Isotype | IgG |
| Purification Method | >95%, Protein G purified |
| Buffer | 0.03% Proclin 300Constituents: 50% Glycerol, 0.01M PBS, pH 7.4 |
| Form | Liquid |
| Application | ELISA, WB, IHC, IF |
| Storage Conditions | Upon receipt, store at -20°C or -80°C. Avoid repeated freeze. |
