Rabbit anti-Human PIN1 Polyclonal Antibody
Beta LifeScience
SKU/CAT #: BLC-03919A
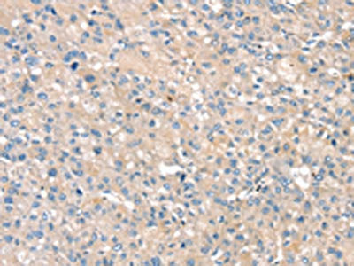
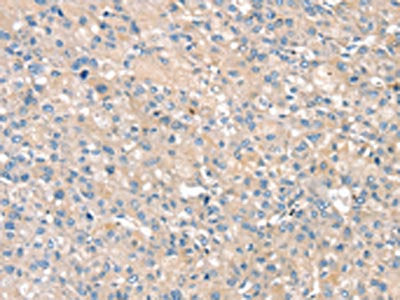
The image on the left is immunohistochemistry of paraffin-embedded Human liver cancer tissue using the antibody Antibody) at dilution 1/25, on the right is treated with fusion protein. (Original magnification: ×200)
The image on the left is immunohistochemistry of paraffin-embedded Human brain tissue using PIN1 Antibody(PIN1 Antibody) at dilution 1/25, on the right is treated with fusion protein. (Original magnification: ×200)
Gel: 12%SDS-PAGE, Lysate: 40 μg, Lane: Mouse brain tissue, Primary antibody: PIN1 Antibody(PIN1 Antibody) at dilution 1/300, Secondary antibody: Goat anti rabbit IgG at 1/8000 dilution, Exposure time: 1 minute
Rabbit anti-Human PIN1 Polyclonal Antibody
Beta LifeScience
SKU/CAT #: BLC-03919A
Our products are highly customizable to meet your specific needs. You can choose options such as endotoxin removal, liquid or lyophilized forms, preferred tags, and the desired functional sequence range for proteins. Submitting a written inquiry expedites the quoting process.
Product Overview
| Product Title | Rabbit anti-Human PIN1 Polyclonal Antibody |
| Description | The antibody against PIN1 was raised in rabbit using the Fusion protein of Human PIN1 as the immunogen. This antibody exists as a non-conjugated isotype IgG, Antigen affinity purified. This antibody has been validated on ELISA, WB, IHC. |
| Uniprot Id - Alink | Q13526 |
| Host Species | Rabbit |
| Reactivity | Human, Mouse |
| Target Name | PIN1 |
| Target Synonyms | DOD antibody; DODO, Drosophila, homolog of antibody; FLJ40239 antibody; FLJ77628 antibody; MGC10717 antibody; NIMA interacting 1 antibody; Peptidyl prolyl cis trans isomerase NIMA interacting 1 antibody; Peptidyl prolyl cis/trans isomerase NIMA interacting antibody; Peptidyl-prolyl cis-trans isomerase NIMA-interacting 1 antibody; Peptidyl-prolyl cis-trans isomerase pin1 antibody; Peptidylprolyl cis/trans isomerase NIMA interacting 1 antibody; Pin 1 antibody; Pin1 antibody; PIN1_HUMAN antibody; PPIase Pin1 antibody; Prolyl isomerase antibody; Protein (peptidylprolyl cis/trans isomerase) NIMA interacting 1 antibody; Protein NIMA interacting 1 antibody; Rotamase Pin1 antibody; UBL 5 antibody; UBL5 antibody |
| Immunogen Description | Fusion protein of Human PIN1 |
| Immunogen Species | Human |
| Immunogen Sequence | Complete sequences for the immunogen, target protein, and peptides are available upon request. |
| Conjugate | Non-conjugated |
| Clonality | Polyclonal |
| Isotype | IgG |
| Purification Method | Antigen affinity purified |
| Buffer | pH7.4 PBS, 0.05% NaN3, 40% Glycerol |
| Form | Liquid |
| Application | ELISA, WB, IHC |
| Storage Conditions | Upon receipt, store at -20°C or -80°C. Avoid repeated freeze. |
