Rabbit anti-Human PDE4D Polyclonal Antibody
Beta LifeScience
SKU/CAT #: BLC-03167A
The image on the left is immunohistochemistry of paraffin-embedded Human brain tissue using the antibody Antibody) at dilution 1/20, on the right is treated with synthetic peptide. (Original magnification: ×200)
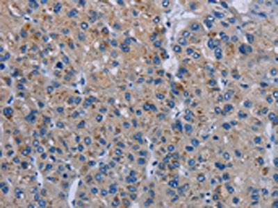
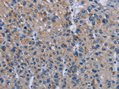
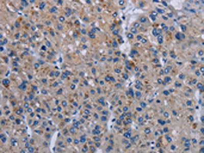
The image on the left is immunohistochemistry of paraffin-embedded Human liver cancer tissue using PDE4D Antibody(PDE4D Antibody) at dilution 1/20, on the right is treated with synthetic peptide. (Original magnification: ×200)
Gel: 6%SDS-PAGE, Lysate: 40 μg, Lane: Hela cells, Primary antibody: PDE4D Antibody(PDE4D Antibody) at dilution 1/200, Secondary antibody: Goat anti rabbit IgG at 1/8000 dilution, Exposure time: 3 minutes
Rabbit anti-Human PDE4D Polyclonal Antibody
Beta LifeScience
SKU/CAT #: BLC-03167A
Our products are highly customizable to meet your specific needs. You can choose options such as endotoxin removal, liquid or lyophilized forms, preferred tags, and the desired functional sequence range for proteins. Submitting a written inquiry expedites the quoting process.
Product Overview
| Product Title | Rabbit anti-Human PDE4D Polyclonal Antibody |
| Description | The antibody against PDE4D was raised in rabbit using the Synthetic peptide of Human PDE4D as the immunogen. This antibody exists as a non-conjugated isotype IgG, Antigen affinity purified. This antibody has been validated on ELISA, WB, IHC. |
| Uniprot Id - Alink | Q08499 |
| Host Species | Rabbit |
| Reactivity | Human |
| Target Name | PDE4D |
| Target Synonyms | cAMP specific 3',5' cyclic phosphodiesterase 4D antibody; DKFZp686M11213 antibody; 5''-cyclic phosphodiesterase 4D antibody; cAMP specific phosphodiesterase 4D antibody; cAMP specific phosphodiesterase PDE4D6 antibody; cAMP-specific 3'' antibody; DPDE3 antibody; Dunce like phosphodiesterase E3 antibody; FLJ97311 antibody; HSPDE4D antibody; PDE43 antibody; Pde4d antibody; PDE4D_HUMAN antibody; PDE4DN2 antibody; Phosphodiesterase 4D cAMP specific (dunce (Drosophila) homolog phosphodiesterase E3) antibody; Phosphodiesterase 4D cAMP specific (phosphodiesterase E3 dunce homolog Drosophila) antibody; Phosphodiesterase 4D cAMP specific antibody; Phosphodiesterase 4D; cAMP specific (dunce) antibody; STRK1 antibody |
| Immunogen Description | Synthetic peptide of Human PDE4D |
| Immunogen Species | Human |
| Immunogen Sequence | Complete sequences for the immunogen, target protein, and peptides are available upon request. |
| Conjugate | Non-conjugated |
| Clonality | Polyclonal |
| Isotype | IgG |
| Purification Method | Antigen affinity purified |
| Buffer | pH7.4 PBS, 0.05% NaN3, 40% Glycerol |
| Form | Liquid |
| Application | ELISA, WB, IHC |
| Storage Conditions | Upon receipt, store at -20°C or -80°C. Avoid repeated freeze. |
