Rabbit anti-Human OR10A2 Polyclonal Antibody
Beta LifeScience
SKU/CAT #: BLC-00012A
IHC image of the antibody diluted at 1:200 and staining in paraffin-embedded human testis tissue performed on a Leica BondTM system. After dewaxing and hydration, antigen retrieval was mediated by high pressure in a citrate buffer (pH 6.0). Section was blocked with 10% normal goat serum 30min at RT. Then primary antibody (1% BSA) was incubated at 4°C overnight. The primary is detected by a Goat anti-rabbit polymer IgG labeled by HRP and visualized using 0.05% DAB.
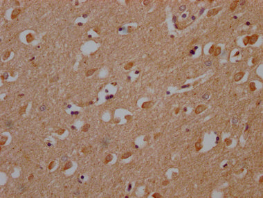
IHC image of OR10A2 Antibody diluted at 1:200 and staining in paraffin-embedded human brain tissue performed on a Leica BondTM system. After dewaxing and hydration, antigen retrieval was mediated by high pressure in a citrate buffer (pH 6.0). Section was blocked with 10% normal goat serum 30min at RT. Then primary antibody (1% BSA) was incubated at 4°C overnight. The primary is detected by a Goat anti-rabbit polymer IgG labeled by HRP and visualized using 0.05% DAB.
Immunofluorescence staining of Hela cells with OR10A2 Antibody at 1:100, counter-stained with DAPI. The cells were fixed in 4% formaldehyde and blocked in 10% normal Goat Serum. The cells were then incubated with the antibody overnight at 4°C. The secondary antibody was Alexa Fluor 488-congugated AffiniPure Goat Anti-Rabbit IgG(H+L).
Rabbit anti-Human OR10A2 Polyclonal Antibody
Beta LifeScience
SKU/CAT #: BLC-00012A
Our products are highly customizable to meet your specific needs. You can choose options such as endotoxin removal, liquid or lyophilized forms, preferred tags, and the desired functional sequence range for proteins. Submitting a written inquiry expedites the quoting process.
Product Overview
| Product Title | Rabbit anti-Human OR10A2 Polyclonal Antibody |
| Description | The antibody against OR10A2 was raised in rabbit using the Peptide sequence from Human Olfactory receptor 10A2 protein (247-262AA) as the immunogen. This antibody exists as a non-conjugated isotype IgG, purified by protein G with a purity greater than 95%. This antibody has been validated on ELISA, IHC, IF. |
| Uniprot Id - Alink | Q9H208 |
| Host Species | Rabbit |
| Reactivity | Human |
| Target Name | OR10A2 |
| Target Synonyms | OR10A2; OR10A2P; Olfactory receptor 10A2; HP4; Olfactory receptor OR11-86 |
| Immunogen Description | Peptide sequence from Human Olfactory receptor 10A2 protein (247-262AA) |
| Immunogen Species | Human |
| Immunogen Sequence | Complete sequences for the immunogen, target protein, and peptides are available upon request. |
| Conjugate | Non-conjugated |
| Clonality | Polyclonal |
| Isotype | IgG |
| Purification Method | >95%, Protein G purified |
| Buffer | 0.03% Proclin 300Constituents: 50% Glycerol, 0.01M PBS, PH 7.4 |
| Form | Liquid |
| Application | ELISA, IHC, IF |
| Storage Conditions | Upon receipt, store at -20°C or -80°C. Avoid repeated freeze. |
