Rabbit anti-Human NUP62 Polyclonal Antibody
Beta LifeScience
SKU/CAT #: BLC-00096A
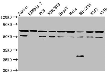
Western Blot | Positive WB detected in: Jurkat whole cell lysate, RAW264.7 whole cell lysate, PC-3 whole cell lysate, NIH/3T3 whole cell lysate, HepG2 whole cell lysate, Hela whole cell lysate, SH-SY5Y whole cell lysate, K562 whole cell lysate, A549 whole cell lysate | All lanes: NUP62 antibody at 3.5μg/ml | Secondary | Goat polyclonal to rabbit IgG at 1/50000 dilution | Predicted band size: 54 kDa | Observed band size: 62 kDa
IHC image of NUP62 Antibody diluted at 1:300 and staining in paraffin-embedded human skeletal muscle tissue performed on a Leica BondTM system. After dewaxing and hydration, antigen retrieval was mediated by high pressure in a citrate buffer (pH 6.0). Section was blocked with 10% normal goat serum 30min at RT. Then primary antibody (1% BSA) was incubated at 4°C overnight. The primary is detected by a biotinylated secondary antibody and visualized using an HRP conjugated SP system.
Immunoprecipitating NUP62 in A549 whole cell lysate | Lane 1: Rabbit control IgG instead of NUP62 Antibody in A549 whole cell lysate. | For western blotting, a HRP-conjugated Protein G antibody was used as the secondary antibody (1/50000) | Lane 2: NUP62 Antibody (6μg) + A549 whole cell lysate (1mg) | Lane 3: A549 whole cell lysate (20μg)
Rabbit anti-Human NUP62 Polyclonal Antibody
Beta LifeScience
SKU/CAT #: BLC-00096A
Our products are highly customizable to meet your specific needs. You can choose options such as endotoxin removal, liquid or lyophilized forms, preferred tags, and the desired functional sequence range for proteins. Submitting a written inquiry expedites the quoting process.
Product Overview
| Product Title | Rabbit anti-Human NUP62 Polyclonal Antibody |
| Description | The antibody against NUP62 was raised in rabbit using the Recombinant Human Nuclear pore glycoprotein p62 protein (173-522AA) as the immunogen. This antibody exists as a non-conjugated isotype IgG, purified by protein G with a purity greater than 95%. This antibody has been validated on ELISA, WB, IHC, IP. |
| Uniprot Id - Alink | P37198 |
| Host Species | Rabbit |
| Reactivity | Human, Mouse |
| Target Name | NUP62 |
| Target Synonyms | NUP62 antibody; Nuclear pore glycoprotein p62 antibody; 62 kDa nucleoporin antibody; Nucleoporin Nup62 antibody |
| Immunogen Description | Recombinant Human Nuclear pore glycoprotein p62 protein (173-522AA) |
| Immunogen Species | Human |
| Immunogen Sequence | Complete sequences for the immunogen, target protein, and peptides are available upon request. |
| Conjugate | Non-conjugated |
| Clonality | Polyclonal |
| Isotype | IgG |
| Purification Method | >95%, Protein G purified |
| Buffer | 0.03% Proclin 300Constituents: 50% Glycerol, 0.01M PBS, pH 7.4 |
| Form | Liquid |
| Application | ELISA, WB, IHC, IP |
| Storage Conditions | Upon receipt, store at -20°C or -80°C. Avoid repeated freeze. |
