Rabbit anti-Human NUCB2 Polyclonal Antibody
Beta LifeScience
SKU/CAT #: BLC-01120A
Western Blot | Positive WB detected in: Rat brain tissue, Rat heart tissue, Mouse heart tissue, Mouse liver tissue, Mouse brain tissue | All lanes: NUCB2 antibody at 2.5μg/ml | Secondary | Goat polyclonal to rabbit IgG at 1/50000 dilution | Predicted band size: 51 kDa | Observed band size: 51 kDa
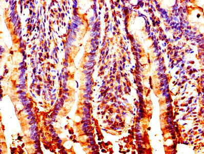
IHC image of NUCB2 Antibody diluted at 1:200 and staining in paraffin-embedded human small intestine tissue performed on a Leica BondTM system. After dewaxing and hydration, antigen retrieval was mediated by high pressure in a citrate buffer (pH 6.0). Section was blocked with 10% normal goat serum 30min at RT. Then primary antibody (1% BSA) was incubated at 4°C overnight. The primary is detected by a biotinylated secondary antibody and visualized using an HRP conjugated SP system.
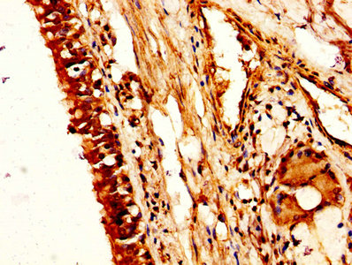
IHC image of NUCB2 Antibody diluted at 1:200 and staining in paraffin-embedded human lung cancer performed on a Leica BondTM system. After dewaxing and hydration, antigen retrieval was mediated by high pressure in a citrate buffer (pH 6.0). Section was blocked with 10% normal goat serum 30min at RT. Then primary antibody (1% BSA) was incubated at 4°C overnight. The primary is detected by a biotinylated secondary antibody and visualized using an HRP conjugated SP system.
Rabbit anti-Human NUCB2 Polyclonal Antibody
Beta LifeScience
SKU/CAT #: BLC-01120A
Our products are highly customizable to meet your specific needs. You can choose options such as endotoxin removal, liquid or lyophilized forms, preferred tags, and the desired functional sequence range for proteins. Submitting a written inquiry expedites the quoting process.
Product Overview
| Product Title | Rabbit anti-Human NUCB2 Polyclonal Antibody |
| Description | The antibody against NUCB2 was raised in rabbit using the Recombinant Human Nucleobindin-2 protein (25-106AA) as the immunogen. This antibody exists as a non-conjugated isotype IgG, purified by protein G with a purity greater than 95%. This antibody has been validated on ELISA, WB, IHC. |
| Uniprot Id - Alink | P80303 |
| Host Species | Rabbit |
| Reactivity | Human, Mouse, Rat |
| Target Name | NUCB2 |
| Target Synonyms | DNA binding protein NEFA antibody; DNA-binding protein NEFA antibody; Gastric cancer antigen Zg4 antibody; HEL S 109 antibody; NEFA antibody; Nefastin 1 antibody; Nefastin-1 antibody; Nefastin1 antibody; Nucb2 antibody; NUCB2_HUMAN antibody; Nucleobindin 2 antibody; Nucleobindin-2 antibody; Nucleobinding 2 antibody; Prepronefastin antibody; Prepronesfatin antibody |
| Immunogen Description | Recombinant Human Nucleobindin-2 protein (25-106AA) |
| Immunogen Species | Human |
| Immunogen Sequence | Complete sequences for the immunogen, target protein, and peptides are available upon request. |
| Conjugate | Non-conjugated |
| Clonality | Polyclonal |
| Isotype | IgG |
| Purification Method | >95%, Protein G purified |
| Buffer | 0.03% Proclin 300Constituents: 50% Glycerol, 0.01M PBS, pH 7.4 |
| Form | Liquid |
| Application | ELISA, WB, IHC |
| Storage Conditions | Upon receipt, store at -20°C or -80°C. Avoid repeated freeze. |
