Rabbit anti-Human NQO2 Polyclonal Antibody
Beta LifeScience
SKU/CAT #: BLC-03523A
The image on the left is immunohistochemistry of paraffin-embedded Human breast cancer tissue using the antibody Antibody) at dilution 1/50, on the right is treated with synthetic peptide. (Original magnification: ×200)
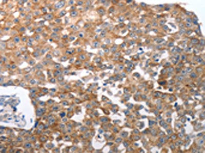
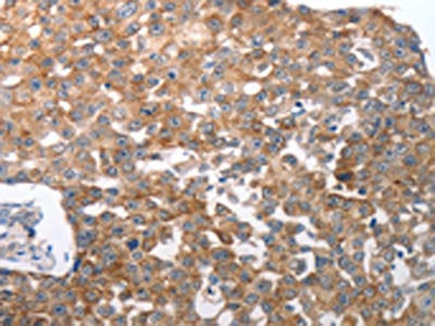
The image on the left is immunohistochemistry of paraffin-embedded Human liver cancer tissue using NQO2 Antibody(NQO2 Antibody) at dilution 1/50, on the right is treated with synthetic peptide. (Original magnification: ×200)
Gel: 10%SDS-PAGE, Lysate: 80 μg, Lane: Mouse liver tissue, Primary antibody: NQO2 Antibody(NQO2 Antibody) at dilution 1/1200, Secondary antibody: Goat anti rabbit IgG at 1/8000 dilution, Exposure time: 45 seconds
Rabbit anti-Human NQO2 Polyclonal Antibody
Beta LifeScience
SKU/CAT #: BLC-03523A
Our products are highly customizable to meet your specific needs. You can choose options such as endotoxin removal, liquid or lyophilized forms, preferred tags, and the desired functional sequence range for proteins. Submitting a written inquiry expedites the quoting process.
Product Overview
| Product Title | Rabbit anti-Human NQO2 Polyclonal Antibody |
| Description | The antibody against NQO2 was raised in rabbit using the Synthetic peptide of Human NQO2 as the immunogen. This antibody exists as a non-conjugated isotype IgG, Antigen affinity purified. This antibody has been validated on ELISA, WB, IHC. |
| Uniprot Id - Alink | P16083 |
| Host Species | Rabbit |
| Reactivity | Human, Mouse |
| Target Name | NQO2 |
| Target Synonyms | DHQV antibody; DIA6 antibody; EC 1.10.99.2 antibody; MGC94180 antibody; NAD(P)H dehydrogenase quinone 2 antibody; NAD(P)H menadione oxidoreductase 1 dioxin inducible 2 antibody; NAD(P)H menadione oxidoreductase 2 dioxin inducible antibody; NMOR2 antibody; NQO 2 antibody; NQO2 antibody; NQO2_HUMAN antibody; NRH dehydrogenase [quinone] 2 antibody; NRH dehydrogenase antibody; NRH:quinone oxidoreductase 2 antibody; OTTHUMP00000015948 antibody; OTTHUMP00000015949 antibody; OTTHUMP00000015953 antibody; Ox 2 antibody; Ox2 antibody; QR2 antibody; Quinone antibody; Quinone reductase 2 antibody; Ribosyldihydronicotinamide dehydrogenase [quinone] antibody; Ribosyldihydronicotinamide dehydrogenase antibody |
| Immunogen Description | Synthetic peptide of Human NQO2 |
| Immunogen Species | Human |
| Immunogen Sequence | Complete sequences for the immunogen, target protein, and peptides are available upon request. |
| Conjugate | Non-conjugated |
| Clonality | Polyclonal |
| Isotype | IgG |
| Purification Method | Antigen affinity purified |
| Buffer | pH7.4 PBS, 0.05% NaN3, 40% Glycerol |
| Form | Liquid |
| Application | ELISA, WB, IHC |
| Storage Conditions | Upon receipt, store at -20°C or -80°C. Avoid repeated freeze. |
