Rabbit anti-Human NQO1 Polyclonal Antibody
Beta LifeScience
SKU/CAT #: BLC-03524A
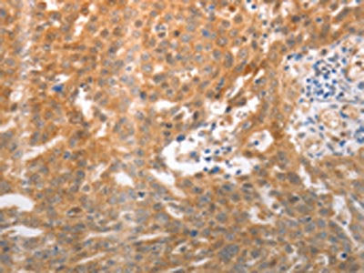
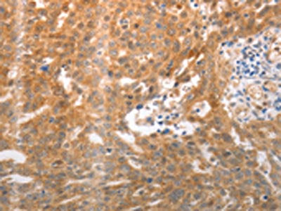
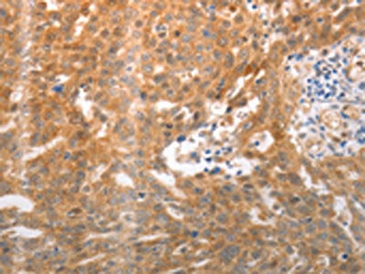
The image on the left is immunohistochemistry of paraffin-embedded Human liver cancer tissue using the antibody Antibody) at dilution 1/25, on the right is treated with synthetic peptide. (Original magnification: ×200)
The image on the left is immunohistochemistry of paraffin-embedded Human ovarian cancer tissue using NQO1 Antibody(NQO1 Antibody) at dilution 1/25, on the right is treated with synthetic peptide. (Original magnification: ×200)
Gel: 10%SDS-PAGE, Lysate: 40 μg, Lane: Hela cells, Primary antibody: NQO1 Antibody(NQO1 Antibody) at dilution 1/600, Secondary antibody: Goat anti rabbit IgG at 1/8000 dilution, Exposure time: 30 seconds
Rabbit anti-Human NQO1 Polyclonal Antibody
Beta LifeScience
SKU/CAT #: BLC-03524A
Our products are highly customizable to meet your specific needs. You can choose options such as endotoxin removal, liquid or lyophilized forms, preferred tags, and the desired functional sequence range for proteins. Submitting a written inquiry expedites the quoting process.
Product Overview
| Product Title | Rabbit anti-Human NQO1 Polyclonal Antibody |
| Description | The antibody against NQO1 was raised in rabbit using the Synthetic peptide of Human NQO1 as the immunogen. This antibody exists as a non-conjugated isotype IgG, Antigen affinity purified. This antibody has been validated on ELISA, WB, IHC. |
| Uniprot Id - Alink | P15559 |
| Host Species | Rabbit |
| Reactivity | Human, Mouse, Rat |
| Target Name | NQO1 |
| Target Synonyms | Azoreductase antibody; Cytochrome b 5 reductase antibody; DHQU antibody; DIA 4 antibody; DIA4 antibody; Diaphorase (NADH/NADPH) (cytochrome b 5 reductase) antibody; Diaphorase (NADH/NADPH) antibody; Diaphorase 4 antibody; Dioxin inducible 1 antibody; DT diaphorase antibody; DT-diaphorase antibody; DTD antibody; Menadione reductase antibody; NAD(P)H dehydrogenase [quinone] 1 antibody; NAD(P)H dehydrogenase quinone 1 antibody; NAD(P)H menadione oxidoreductase 1 dioxin inducible antibody; NAD(P)H quinone dehydrogenase 1 antibody; NAD(P)H: menadione oxidoreductase 1 dioxin inducible 1 antibody; NAD(P)H:menadione oxidoreductase 1 antibody; NAD(P)H:Quinone acceptor oxidoreductase type 1 antibody; NAD(P)H:quinone oxidoreductase 1 antibody; NAD(P)H:quinone oxireductase antibody; NMOR 1 antibody; NMOR I antibody; NMOR1 antibody; NMORI antibody; NQO 1 antibody; NQO1 antibody; NQO1_HUMAN antibody; Phylloquinone reductase antibody; QR 1 antibody; QR1 antibody; Quinone reductase 1 antibody |
| Immunogen Description | Synthetic peptide of Human NQO1 |
| Immunogen Species | Human |
| Immunogen Sequence | Complete sequences for the immunogen, target protein, and peptides are available upon request. |
| Conjugate | Non-conjugated |
| Clonality | Polyclonal |
| Isotype | IgG |
| Purification Method | Antigen affinity purified |
| Buffer | pH7.4 PBS, 0.05% NaN3, 40% Glycerol |
| Form | Liquid |
| Application | ELISA, WB, IHC |
| Storage Conditions | Upon receipt, store at -20°C or -80°C. Avoid repeated freeze. |
