Rabbit anti-Human NPAS4 Polyclonal Antibody
Beta LifeScience
SKU/CAT #: BLC-00747A
Western Blot | Positive WB detected in: SH-SY5Y whole cell lysate | All lanes: NPAS4 antibody at 7µg/ml | Secondary | Goat polyclonal to rabbit IgG at 1/50000 dilution | Predicted band size: 88, 26 kDa | Observed band size: 88 kDa
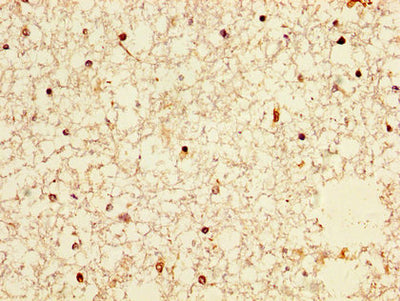
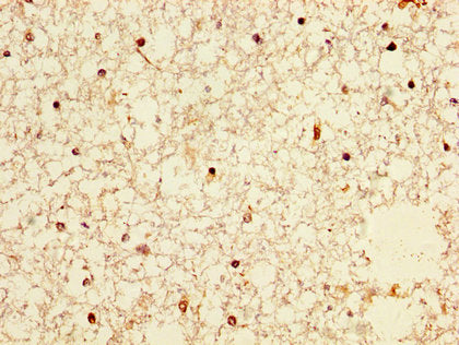
IHC image of NPAS4 Antibody diluted at 1:300 and staining in paraffin-embedded human brain tissue performed on a Leica BondTM system. After dewaxing and hydration, antigen retrieval was mediated by high pressure in a citrate buffer (pH 6.0). Section was blocked with 10% normal goat serum 30min at RT. Then primary antibody (1% BSA) was incubated at 4°C overnight. The primary is detected by a biotinylated secondary antibody and visualized using an HRP conjugated SP system.
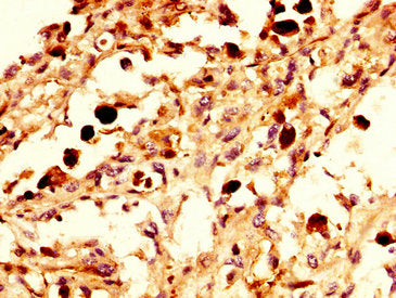
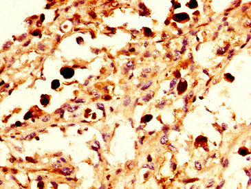
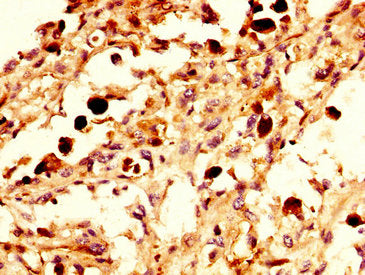
IHC image of NPAS4 Antibody diluted at 1:300 and staining in paraffin-embedded human melanoma performed on a Leica BondTM system. After dewaxing and hydration, antigen retrieval was mediated by high pressure in a citrate buffer (pH 6.0). Section was blocked with 10% normal goat serum 30min at RT. Then primary antibody (1% BSA) was incubated at 4°C overnight. The primary is detected by a biotinylated secondary antibody and visualized using an HRP conjugated SP system.
Rabbit anti-Human NPAS4 Polyclonal Antibody
Beta LifeScience
SKU/CAT #: BLC-00747A
Our products are highly customizable to meet your specific needs. You can choose options such as endotoxin removal, liquid or lyophilized forms, preferred tags, and the desired functional sequence range for proteins. Submitting a written inquiry expedites the quoting process.
Product Overview
| Product Title | Rabbit anti-Human NPAS4 Polyclonal Antibody |
| Description | The antibody against NPAS4 was raised in rabbit using the Recombinant Human Neuronal PAS domain-containing protein 4 protein (445-585AA) as the immunogen. This antibody exists as a non-conjugated isotype IgG, purified by protein G with a purity greater than 95%. This antibody has been validated on ELISA, WB, IHC. |
| Uniprot Id - Alink | Q8IUM7 |
| Host Species | Rabbit |
| Reactivity | Human |
| Target Name | NPAS4 |
| Target Synonyms | bHLH PAS type transcription factor NXF antibody; bHLHe79 antibody; Class E basic helix-loop-helix protein 79 antibody; HLH-PAS transcription factor NXF antibody; Le PAS antibody; limbic enhanced PAS protein antibody; neuronal PAS domain protein 4 antibody; Neuronal PAS domain-containing protein 4 antibody; Neuronal PAS4 antibody; NPAS4 antibody; NPAS4_HUMAN antibody; NXF antibody; PAS domain-containing protein 10 antibody; PASD10 antibody |
| Immunogen Description | Recombinant Human Neuronal PAS domain-containing protein 4 protein (445-585AA) |
| Immunogen Species | Human |
| Immunogen Sequence | Complete sequences for the immunogen, target protein, and peptides are available upon request. |
| Conjugate | Non-conjugated |
| Clonality | Polyclonal |
| Isotype | IgG |
| Purification Method | >95%, Protein G purified |
| Buffer | 0.03% Proclin 300Constituents: 50% Glycerol, 0.01M PBS, pH 7.4 |
| Form | Liquid |
| Application | ELISA, WB, IHC |
| Storage Conditions | Upon receipt, store at -20°C or -80°C. Avoid repeated freeze. |
