Rabbit anti-Human NEK1 Polyclonal Antibody
Beta LifeScience
SKU/CAT #: BLC-00404A
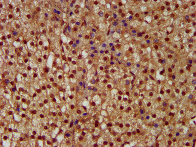
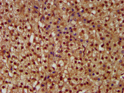
IHC image of the antibody diluted at 1:300 and staining in paraffin-embedded human adrenal gland tissue performed on a Leica BondTM system. After dewaxing and hydration, antigen retrieval was mediated by high pressure in a citrate buffer (pH 6.0). Section was blocked with 10% normal goat serum 30min at RT. Then primary antibody (1% BSA) was incubated at 4°C overnight. The primary is detected by a biotinylated secondary antibody and visualized using an HRP conjugated SP system.
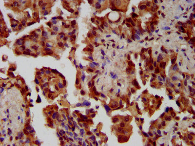
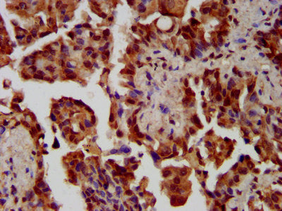
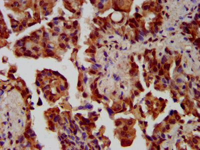
IHC image of NEK1 Antibody diluted at 1:300 and staining in paraffin-embedded human lung cancer performed on a Leica BondTM system. After dewaxing and hydration, antigen retrieval was mediated by high pressure in a citrate buffer (pH 6.0). Section was blocked with 10% normal goat serum 30min at RT. Then primary antibody (1% BSA) was incubated at 4°C overnight. The primary is detected by a biotinylated secondary antibody and visualized using an HRP conjugated SP system.
Immunofluorescence staining of Hela cells with NEK1 Antibody at 1:100, counter-stained with DAPI. The cells were fixed in 4% formaldehyde, permeabilized using 0.2% Triton X-100 and blocked in 10% normal Goat Serum. The cells were then incubated with the antibody overnight at 4°C. The secondary antibody was Alexa Fluor 488-congugated AffiniPure Goat Anti-Rabbit IgG(H+L).
Rabbit anti-Human NEK1 Polyclonal Antibody
Beta LifeScience
SKU/CAT #: BLC-00404A
Our products are highly customizable to meet your specific needs. You can choose options such as endotoxin removal, liquid or lyophilized forms, preferred tags, and the desired functional sequence range for proteins. Submitting a written inquiry expedites the quoting process.
Product Overview
| Product Title | Rabbit anti-Human NEK1 Polyclonal Antibody |
| Description | The antibody against NEK1 was raised in rabbit using the Recombinant Human Serine/threonine-protein kinase Nek1 protein (626-809AA) as the immunogen. This antibody exists as a non-conjugated isotype IgG, purified by protein G with a purity greater than 95%. This antibody has been validated on ELISA, IHC, IF. |
| Uniprot Id - Alink | Q96PY6 |
| Host Species | Rabbit |
| Reactivity | Human |
| Target Name | NEK1 |
| Target Synonyms | DKFZp686D06121 antibody; DKFZp686K12169 antibody; kat antibody; KIAA1901 antibody; MGC138800 antibody; MGC189817 antibody; NEK1 antibody; NEK1_HUMAN antibody; Never in mitosis A-related kinase 1 antibody; Never in mitosis gene A-related kinase 1 antibody; NIMA (never in mitosis gene a)-related kinase 1 antibody; NIMA-related kinase 1 antibody; NimA-related protein kinase 1 antibody; NY-REN-55 antibody; OTTHUMP00000219432 antibody; OTTHUMP00000219433 antibody; OTTHUMP00000219434 antibody; OTTHUMP00000219435 antibody; Protein-serine/threonine kinase antibody; Renal carcinoma antigen NY-REN-55 antibody; Serine/threonine-protein kinase Nek1 antibody; SRPS2 antibody; SRPS2A antibody; SRTD6 antibody |
| Immunogen Description | Recombinant Human Serine/threonine-protein kinase Nek1 protein (626-809AA) |
| Immunogen Species | Human |
| Immunogen Sequence | Complete sequences for the immunogen, target protein, and peptides are available upon request. |
| Conjugate | Non-conjugated |
| Clonality | Polyclonal |
| Isotype | IgG |
| Purification Method | >95%, Protein G purified |
| Buffer | 0.03% Proclin 300Constituents: 50% Glycerol, 0.01M PBS, pH 7.4 |
| Form | Liquid |
| Application | ELISA, IHC, IF |
| Storage Conditions | Upon receipt, store at -20°C or -80°C. Avoid repeated freeze. |
