Rabbit anti-Human NDUFS4 Polyclonal Antibody
Beta LifeScience
SKU/CAT #: BLC-03942A
The image on the left is immunohistochemistry of paraffin-embedded Human colon cancer tissue using the antibody Antibody) at dilution 1/20, on the right is treated with fusion protein. (Original magnification: ×200)
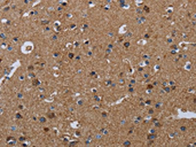
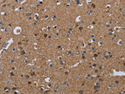
The image on the left is immunohistochemistry of paraffin-embedded Human brain tissue using NDUFS4 Antibody(NDUFS4 Antibody) at dilution 1/20, on the right is treated with fusion protein. (Original magnification: ×200)
Gel: 10%SDS-PAGE, Lysate: 40 μg, Lane 1-2: Mouse kidney tissue, Mouse heart tissue, Primary antibody: NDUFS4 Antibody(NDUFS4 Antibody) at dilution 1/200, Secondary antibody: Goat anti rabbit IgG at 1/8000 dilution, Exposure time: 20 seconds
Rabbit anti-Human NDUFS4 Polyclonal Antibody
Beta LifeScience
SKU/CAT #: BLC-03942A
Our products are highly customizable to meet your specific needs. You can choose options such as endotoxin removal, liquid or lyophilized forms, preferred tags, and the desired functional sequence range for proteins. Submitting a written inquiry expedites the quoting process.
Product Overview
| Product Title | Rabbit anti-Human NDUFS4 Polyclonal Antibody |
| Description | The antibody against NDUFS4 was raised in rabbit using the Fusion protein of Human NDUFS4 as the immunogen. This antibody exists as a non-conjugated isotype IgG, Antigen affinity purified. This antibody has been validated on ELISA, WB, IHC. |
| Uniprot Id - Alink | O43181 |
| Host Species | Rabbit |
| Reactivity | Human, Mouse, Rat |
| Target Name | NDUFS4 |
| Target Synonyms | AQDQ antibody; CI 18 antibody; CI 18 kDa antibody; CI AQDQ antibody; CI-18 kDa antibody; CI-AQDQ antibody; Complex I 18 kDa antibody; Complex I AQDQ antibody; Complex I-18 kDa antibody; Complex I-AQDQ antibody; mitochondrial antibody; mitochondrial respiratory chain complex I (18 KD subunit) antibody; NADH coenzyme Q reductase antibody; NADH dehydrogenase (ubiquinone) Fe S protein 4 18kDa antibody; NADH dehydrogenase [ubiquinone] iron-sulfur protein 4 antibody; NADH dehydrogenase antibody; NADH ubiquinone oxidoreductase 18 kDa subunit antibody; NADH-ubiquinone oxidoreductase 18 kDa subunit antibody; NDUFS4 antibody; NDUS4_HUMAN antibody |
| Immunogen Description | Fusion protein of Human NDUFS4 |
| Immunogen Species | Human |
| Immunogen Sequence | Complete sequences for the immunogen, target protein, and peptides are available upon request. |
| Conjugate | Non-conjugated |
| Clonality | Polyclonal |
| Isotype | IgG |
| Purification Method | Antigen affinity purified |
| Buffer | pH7.4 PBS, 0.05% NaN3, 40% Glycerol |
| Form | Liquid |
| Application | ELISA, WB, IHC |
| Storage Conditions | Upon receipt, store at -20°C or -80°C. Avoid repeated freeze. |
