Rabbit anti-Human NDUFS2 Polyclonal Antibody
Beta LifeScience
SKU/CAT #: BLC-03194A
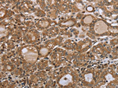
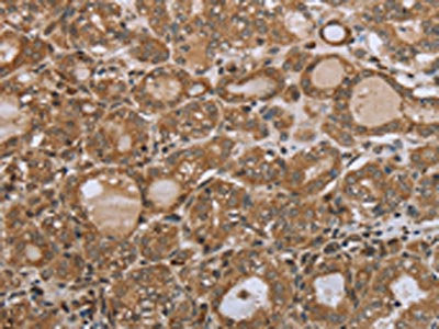
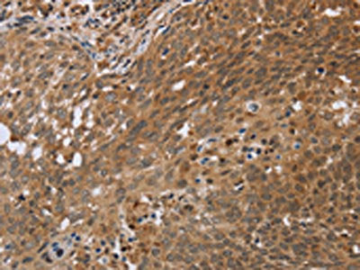
The image on the left is immunohistochemistry of paraffin-embedded Human thyroid cancer tissue using the antibody Antibody) at dilution 1/35, on the right is treated with synthetic peptide. (Original magnification: ×200)
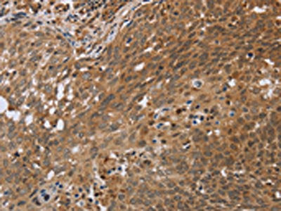
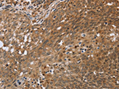
The image on the left is immunohistochemistry of paraffin-embedded Human cervical cancer tissue using NDUFS2 Antibody(NDUFS2 Antibody) at dilution 1/35, on the right is treated with synthetic peptide. (Original magnification: ×200)
Gel: 8%SDS-PAGE, Lysate: 40 μg, Lane: Mouse heart tissue, Primary antibody: NDUFS2 Antibody(NDUFS2 Antibody) at dilution 1/250, Secondary antibody: Goat anti rabbit IgG at 1/8000 dilution, Exposure time: 5 minutes
Rabbit anti-Human NDUFS2 Polyclonal Antibody
Beta LifeScience
SKU/CAT #: BLC-03194A
Our products are highly customizable to meet your specific needs. You can choose options such as endotoxin removal, liquid or lyophilized forms, preferred tags, and the desired functional sequence range for proteins. Submitting a written inquiry expedites the quoting process.
Product Overview
| Product Title | Rabbit anti-Human NDUFS2 Polyclonal Antibody |
| Description | The antibody against NDUFS2 was raised in rabbit using the Synthetic peptide of Human NDUFS2 as the immunogen. This antibody exists as a non-conjugated isotype IgG, Antigen affinity purified. This antibody has been validated on ELISA, WB, IHC. |
| Uniprot Id - Alink | O75306 |
| Host Species | Rabbit |
| Reactivity | Human, Mouse, Rat |
| Target Name | NDUFS2 |
| Target Synonyms | CI 49 antibody; CI 49kD antibody; CI-49kD antibody; Complex 1, mitochondrial respiratory chain, 49 KD subunit antibody; Complex I 49kD antibody; Complex I 49kDa subunit antibody; Complex I-49kD antibody; mitochondrial antibody; NADH dehydrogenase (ubiquinone) Fe S protein 2 49kDa antibody; NADH dehydrogenase (ubiquinone) Fe S protein 2, 49kDa (NADH coenzyme Q reductase) antibody; NADH dehydrogenase [ubiquinone] iron sulfur protein 2, mitochondrial antibody; NADH dehydrogenase [ubiquinone] iron-sulfur protein 2 antibody; NADH ubiquinone oxidoreductase 49 kDa subunit antibody; NADH ubiquinone oxidoreductase NDUFS2 subunit antibody; NADH-ubiquinone oxidoreductase 49 kDa subunit antibody; NADH:ubiquinone oxidoreductase core subunit S2 antibody; Ndufs2 antibody; NDUS2_HUMAN antibody |
| Immunogen Description | Synthetic peptide of Human NDUFS2 |
| Immunogen Species | Human |
| Immunogen Sequence | Complete sequences for the immunogen, target protein, and peptides are available upon request. |
| Conjugate | Non-conjugated |
| Clonality | Polyclonal |
| Isotype | IgG |
| Purification Method | Antigen affinity purified |
| Buffer | pH7.4 PBS, 0.05% NaN3, 40% Glycerol |
| Form | Liquid |
| Application | ELISA, WB, IHC |
| Storage Conditions | Upon receipt, store at -20°C or -80°C. Avoid repeated freeze. |
