Rabbit anti-Human MYOC Polyclonal Antibody
Beta LifeScience
SKU/CAT #: BLC-00735A
Western Blot | Positive WB detected in: MCF-7 whole cell lysate, Colo320 whole cell lysate | All lanes: MYOC antibody at 5.2µg/ml | Secondary | Goat polyclonal to rabbit IgG at 1/50000 dilution | Predicted band size: 57 kDa | Observed band size: 57 kDa
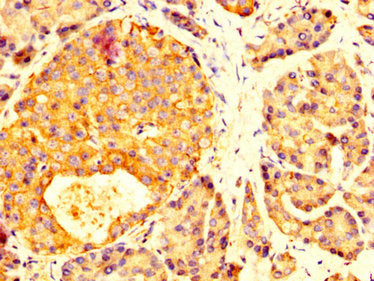
IHC image of MYOC Antibody diluted at 1:200 and staining in paraffin-embedded human pancreatic tissue performed on a Leica BondTM system. After dewaxing and hydration, antigen retrieval was mediated by high pressure in a citrate buffer (pH 6.0). Section was blocked with 10% normal goat serum 30min at RT. Then primary antibody (1% BSA) was incubated at 4°C overnight. The primary is detected by a biotinylated secondary antibody and visualized using an HRP conjugated SP system.
IHC image of MYOC Antibody diluted at 1:200 and staining in paraffin-embedded human colon cancer performed on a Leica BondTM system. After dewaxing and hydration, antigen retrieval was mediated by high pressure in a citrate buffer (pH 6.0). Section was blocked with 10% normal goat serum 30min at RT. Then primary antibody (1% BSA) was incubated at 4°C overnight. The primary is detected by a biotinylated secondary antibody and visualized using an HRP conjugated SP system.
Rabbit anti-Human MYOC Polyclonal Antibody
Beta LifeScience
SKU/CAT #: BLC-00735A
Our products are highly customizable to meet your specific needs. You can choose options such as endotoxin removal, liquid or lyophilized forms, preferred tags, and the desired functional sequence range for proteins. Submitting a written inquiry expedites the quoting process.
Product Overview
| Product Title | Rabbit anti-Human MYOC Polyclonal Antibody |
| Description | The antibody against MYOC was raised in rabbit using the Recombinant Human Myocilin protein (183-294AA) as the immunogen. This antibody exists as a non-conjugated isotype IgG, purified by protein G with a purity greater than 95%. This antibody has been validated on ELISA, WB, IHC. |
| Uniprot Id - Alink | Q99972 |
| Host Species | Rabbit |
| Reactivity | Human |
| Target Name | MYOC |
| Target Synonyms | GLC1A antibody; GPOA antibody; JOAG antibody; JOAG1 antibody; Mutated trabecular meshwork-induced glucocorticoid response protein antibody; MYOC antibody; MYOC_HUMAN antibody; Myocilin antibody; Myocilin, trabecular meshwork inducible glucocorticoid antibody; TIGR antibody; Trabecular meshwork induced glucocorticoid response protein antibody; Trabecular meshwork-induced glucocorticoid response protein antibody |
| Immunogen Description | Recombinant Human Myocilin protein (183-294AA) |
| Immunogen Species | Human |
| Immunogen Sequence | Complete sequences for the immunogen, target protein, and peptides are available upon request. |
| Conjugate | Non-conjugated |
| Clonality | Polyclonal |
| Isotype | IgG |
| Purification Method | >95%, Protein G purified |
| Buffer | 0.03% Proclin 300Constituents: 50% Glycerol, 0.01M PBS, pH 7.4 |
| Form | Liquid |
| Application | ELISA, WB, IHC |
| Storage Conditions | Upon receipt, store at -20°C or -80°C. Avoid repeated freeze. |
