Rabbit anti-Human MID1IP1 Polyclonal Antibody
Beta LifeScience
SKU/CAT #: BLC-00728A
IHC image of the antibody diluted at 1:300 and staining in paraffin-embedded human small intestine tissue performed on a Leica BondTM system. After dewaxing and hydration, antigen retrieval was mediated by high pressure in a citrate buffer (pH 6.0). Section was blocked with 10% normal goat serum 30min at RT. Then primary antibody (1% BSA) was incubated at 4°C overnight. The primary is detected by a biotinylated secondary antibody and visualized using an HRP conjugated SP system.
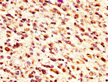
IHC image of MID1IP1 Antibody diluted at 1:300 and staining in paraffin-embedded human glioma performed on a Leica BondTM system. After dewaxing and hydration, antigen retrieval was mediated by high pressure in a citrate buffer (pH 6.0). Section was blocked with 10% normal goat serum 30min at RT. Then primary antibody (1% BSA) was incubated at 4°C overnight. The primary is detected by a biotinylated secondary antibody and visualized using an HRP conjugated SP system.
Immunofluorescence staining of Hela cells with MID1IP1 Antibody at 1:125, counter-stained with DAPI. The cells were fixed in 4% formaldehyde, permeabilized using 0.2% Triton X-100 and blocked in 10% normal Goat Serum. The cells were then incubated with the antibody overnight at 4°C. The secondary antibody was Alexa Fluor 488-congugated AffiniPure Goat Anti-Rabbit IgG(H+L).
Rabbit anti-Human MID1IP1 Polyclonal Antibody
Beta LifeScience
SKU/CAT #: BLC-00728A
Our products are highly customizable to meet your specific needs. You can choose options such as endotoxin removal, liquid or lyophilized forms, preferred tags, and the desired functional sequence range for proteins. Submitting a written inquiry expedites the quoting process.
Product Overview
| Product Title | Rabbit anti-Human MID1IP1 Polyclonal Antibody |
| Description | The antibody against MID1IP1 was raised in rabbit using the Recombinant Human Mid1-interacting protein 1 protein (1-183AA) as the immunogen. This antibody exists as a non-conjugated isotype IgG, purified by protein G with a purity greater than 95%. This antibody has been validated on ELISA, IHC, IF. |
| Uniprot Id - Alink | Q9NPA3 |
| Host Species | Rabbit |
| Reactivity | Human |
| Target Name | MID1IP1 |
| Target Synonyms | 3110038L01Rik antibody; FLJ10386 antibody; G12 like antibody; Gastrulation specific G12 like protein antibody; Gastrulation-specific G12-like protein antibody; M1IP1_HUMAN antibody; MGC72582 antibody; MID1 interacting G12 like protein antibody; MID1 interacting protein 1 (gastrulation specific G12 like) antibody; Mid1-interacting G12-like protein antibody; Mid1-interacting protein 1 antibody; Mid1ip1 antibody; MIG12 antibody; OTTMUSP00000018143 antibody; OTTMUSP00000018222 antibody; OTTMUSP00000018284 antibody; OTTMUSP00000018285 antibody; Protein STRAIT11499 antibody; Protein STRAIT11499 homolog antibody; RP23-130J1.1 antibody; S14R antibody; Slap antibody; Spot 14 like androgen inducible protein antibody; Spot 14 related protein antibody; Spot 14-R antibody; Spot 14-related protein antibody; STRAIT11499 antibody; THRSPL antibody |
| Immunogen Description | Recombinant Human Mid1-interacting protein 1 protein (1-183AA) |
| Immunogen Species | Human |
| Immunogen Sequence | Complete sequences for the immunogen, target protein, and peptides are available upon request. |
| Conjugate | Non-conjugated |
| Clonality | Polyclonal |
| Isotype | IgG |
| Purification Method | >95%, Protein G purified |
| Buffer | 0.03% Proclin 300Constituents: 50% Glycerol, 0.01M PBS, pH 7.4 |
| Form | Liquid |
| Application | ELISA, IHC, IF |
| Storage Conditions | Upon receipt, store at -20°C or -80°C. Avoid repeated freeze. |
