Rabbit anti-Human MAPT Polyclonal Antibody
Beta LifeScience
SKU/CAT #: BLC-03409A
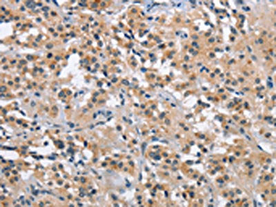
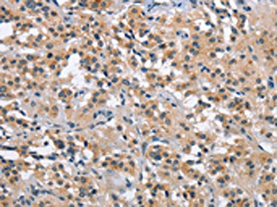
The image on the left is immunohistochemistry of paraffin-embedded Human thyroid cancer tissue using the antibody Antibody) at dilution 1/40, on the right is treated with synthetic peptide. (Original magnification: ×200)
The image on the left is immunohistochemistry of paraffin-embedded Human brain tissue using MAPT Antibody(MAPT Antibody) at dilution 1/40, on the right is treated with synthetic peptide. (Original magnification: ×200)
Gel: 6%SDS-PAGE, Lysate: 40 μg, Lane 1-3: A172 cells, mouse brain tissue, NIH/3T3 cells, Primary antibody: MAPT Antibody(MAPT Antibody) at dilution 1/740, Secondary antibody: Goat anti rabbit IgG at 1/8000 dilution, Exposure time: 30 seconds
Rabbit anti-Human MAPT Polyclonal Antibody
Beta LifeScience
SKU/CAT #: BLC-03409A
Our products are highly customizable to meet your specific needs. You can choose options such as endotoxin removal, liquid or lyophilized forms, preferred tags, and the desired functional sequence range for proteins. Submitting a written inquiry expedites the quoting process.
Product Overview
| Product Title | Rabbit anti-Human MAPT Polyclonal Antibody |
| Description | The antibody against MAPT was raised in rabbit using the Synthetic peptide of Human MAPT as the immunogen. This antibody exists as a non-conjugated isotype IgG, Antigen affinity purified. This antibody has been validated on ELISA, WB, IHC. |
| Uniprot Id - Alink | P10636 |
| Host Species | Rabbit |
| Reactivity | Human, Mouse |
| Target Name | MAPT |
| Target Synonyms | AI413597 antibody; AW045860 antibody; DDPAC antibody; FLJ31424 antibody; FTDP 17 antibody; G protein beta1/gamma2 subunit interacting factor 1 antibody; MAPT antibody; MAPTL antibody; MGC134287 antibody; MGC138549 antibody; MGC156663 antibody; Microtubule associated protein tau antibody; Microtubule associated protein tau isoform 4 antibody; Microtubule-associated protein tau antibody; MSTD antibody; Mtapt antibody; MTBT1 antibody; MTBT2 antibody; Neurofibrillary tangle protein antibody; Paired helical filament tau antibody; Paired helical filament-tau antibody; PHF tau antibody; PHF-tau antibody; PPND antibody; PPP1R103 antibody; Protein phosphatase 1, regulatory subunit 103 antibody; pTau antibody; RNPTAU antibody; TAU antibody; TAU_HUMAN antibody; Tauopathy and respiratory failure antibody; Tauopathy and respiratory failure, included antibody |
| Immunogen Description | Synthetic peptide of Human MAPT |
| Immunogen Species | Human |
| Immunogen Sequence | Complete sequences for the immunogen, target protein, and peptides are available upon request. |
| Conjugate | Non-conjugated |
| Clonality | Polyclonal |
| Isotype | IgG |
| Purification Method | Antigen affinity purified |
| Buffer | pH7.4 PBS, 0.05% NaN3, 40% Glycerol |
| Form | Liquid |
| Application | ELISA, WB, IHC |
| Storage Conditions | Upon receipt, store at -20°C or -80°C. Avoid repeated freeze. |
