Rabbit anti-Human MAPKAPK2 Polyclonal Antibody
Beta LifeScience
SKU/CAT #: BLC-05555A
Western blot analysis of extracts from Hela cells untreated(lane 1) or treated with UV(lane 2) using MAPKAPK-2(Phospho-Thr334) Antibody.
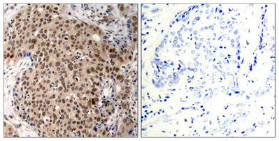
Immunohistochemical analysis of paraffin-embedded human breast carcinoma tissue using MAPKAPK-2(Phospho-Thr334) Antibody(left) or the same antibody preincubated with blocking peptide(right).
Immunofluorescence staining of methanol-fixed Hela cells using MAPKAPK-2(Phospho-Thr334) Antibody.
Rabbit anti-Human MAPKAPK2 Polyclonal Antibody
Beta LifeScience
SKU/CAT #: BLC-05555A
Our products are highly customizable to meet your specific needs. You can choose options such as endotoxin removal, liquid or lyophilized forms, preferred tags, and the desired functional sequence range for proteins. Submitting a written inquiry expedites the quoting process.
Product Overview
| Product Title | Rabbit anti-Human MAPKAPK2 Polyclonal Antibody |
| Description | The antibody against MAPKAPK2 was raised in rabbit using the Peptide sequence around phosphorylation site of threonine 334 (P-Q-T(p)-P-L) derived from Human MAPKAPK-2. as the immunogen. Antibodies were produced by immunizing rabbits with synthetic phosphopeptide and KLH conjugates. Antibodies were purified by affinity-chromatography using epitope-specific phosphopeptide. Non-phospho specific antibodies were removed by chromatogramphy usi This antibody has been validated on ELISA, WB, IHC, IF. |
| Uniprot Id - Alink | P49137 |
| Host Species | Rabbit |
| Reactivity | Human, Mouse, Rat |
| Target Name | MAPKAPK2 |
| Target Synonyms | MAP kinase activated protein Kinase 2 antibody; MAP kinase-activated protein kinase 2 antibody; MAPK activated protein kinase 2 antibody; MAPK-activated protein kinase 2 antibody; MAPK2_HUMAN antibody; MAPKAP K2 antibody; MAPKAP kinase 2 antibody; MAPKAPK 2 antibody; MAPKAPK-2 antibody; MAPKAPK2 antibody; Mitogen activated protein kinase activated protein kinase 2 antibody; MK 2 antibody; MK2 antibody |
| Immunogen Description | Peptide sequence around phosphorylation site of threonine 334 (P-Q-T(p)-P-L) derived from Human MAPKAPK-2. |
| Immunogen Species | Human |
| Immunogen Sequence | Complete sequences for the immunogen, target protein, and peptides are available upon request. |
| Clonality | Polyclonal |
| Purification Method | Antibodies were produced by immunizing rabbits with synthetic phosphopeptide and KLH conjugates. Antibodies were purified by affinity-chromatography using epitope-specific phosphopeptide. Non-phospho specific antibodies were removed by chromatogramphy usi |
| Buffer | Supplied at 1.0mg/mL in phosphate buffered saline (without Mg2+ and Ca2+), pH 7.4, 150mM NaCl, 0.02% sodium azide and 50% glycerol. |
| Form | Liquid |
| Application | ELISA, WB, IHC, IF |
| Storage Conditions | Upon receipt, store at -20°C or -80°C. Avoid repeated freeze. |
