Rabbit anti-Human LEFTY2 Polyclonal Antibody
Beta LifeScience
SKU/CAT #: BLC-03844A
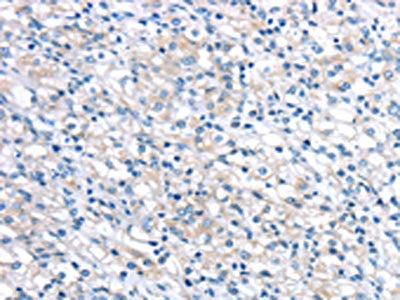
The image on the left is immunohistochemistry of paraffin-embedded Human liver cancer tissue using the antibody Antibody) at dilution 1/20, on the right is treated with fusion protein. (Original magnification: ×200)
The image on the left is immunohistochemistry of paraffin-embedded Human prostate cancer tissue using LEFTY2 Antibody(LEFTY2 Antibody) at dilution 1/20, on the right is treated with fusion protein. (Original magnification: ×200)
Gel: 8%SDS-PAGE,Lysate: 40 μg,,Primary antibody: LEFTY2 Antibody(LEFTY2 Antibody) at dilution 1/200 dilution,Secondary antibody: Goat anti rabbit IgG at 1/8000 dilution,Exposure time: 30 seconds
Rabbit anti-Human LEFTY2 Polyclonal Antibody
Beta LifeScience
SKU/CAT #: BLC-03844A
Our products are highly customizable to meet your specific needs. You can choose options such as endotoxin removal, liquid or lyophilized forms, preferred tags, and the desired functional sequence range for proteins. Submitting a written inquiry expedites the quoting process.
Product Overview
| Product Title | Rabbit anti-Human LEFTY2 Polyclonal Antibody |
| Description | The antibody against LEFTY2 was raised in rabbit using the Full length fusion protein as the immunogen. This antibody exists as a non-conjugated isotype IgG, Antigen affinity purified. This antibody has been validated on ELISA, WB, IHC. |
| Uniprot Id - Alink | O00292 |
| Host Species | Rabbit |
| Reactivity | Human, Mouse |
| Target Name | LEFTY2 |
| Target Synonyms | EBAF antibody; Endometrial bleeding associated factor (left right determination factor A transforming growth factor beta superfamily) antibody; Endometrial bleeding associated factor antibody; Endometrial bleeding-associated factor antibody; Left right determination factor 2 antibody; Left right determination factor A antibody; Left-right determination factor 2 antibody; Left-right determination factor A antibody; LEFTA antibody; LEFTY 2 antibody; LEFTY2 antibody; LEFTYA antibody; LFTY2 transforming growth factor; beta -4 antibody; LFTY2; mouse; homolog of antibody; LFTY2_HUMAN antibody; MGC46222 antibody; Protein lefty 2 antibody; Protein lefty A antibody; Protein lefty-2 antibody; Protein lefty-A antibody; Protein lefty2 antibody; PSEC0024 antibody; TGF beta 4 antibody; TGF-beta-4 antibody; TGFB4 antibody; Transforming growth factor beta 4 antibody; Transforming growth factor beta-4 antibody |
| Immunogen Description | Full length fusion protein |
| Immunogen Species | Human |
| Immunogen Sequence | Complete sequences for the immunogen, target protein, and peptides are available upon request. |
| Conjugate | Non-conjugated |
| Clonality | Polyclonal |
| Isotype | IgG |
| Purification Method | Antigen affinity purified |
| Buffer | pH7.4 PBS, 0.05% NaN3, 40% Glycerol |
| Form | Liquid |
| Application | ELISA, WB, IHC |
| Storage Conditions | Upon receipt, store at -20°C or -80°C. Avoid repeated freeze. |
