Rabbit anti-Human KDM1A Polyclonal Antibody
Beta LifeScience
SKU/CAT #: BLC-03444A
The image on the left is immunohistochemistry of paraffin-embedded Human colon cancer tissue using the antibody Antibody) at dilution 1/55, on the right is treated with synthetic peptide. (Original magnification: ×200)
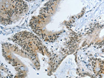
The image on the left is immunohistochemistry of paraffin-embedded Human lung cancer tissue using KDM1A Antibody(KDM1A Antibody) at dilution 1/55, on the right is treated with synthetic peptide. (Original magnification: ×200)
Gel: 8%SDS-PAGE, Lysate: 40 μg, Lane 1-2: Jurkat cells, 293T cells, Primary antibody: KDM1A Antibody(KDM1A Antibody) at dilution 1/500, Secondary antibody: Goat anti rabbit IgG at 1/8000 dilution, Exposure time: 1 minute
Rabbit anti-Human KDM1A Polyclonal Antibody
Beta LifeScience
SKU/CAT #: BLC-03444A
Our products are highly customizable to meet your specific needs. You can choose options such as endotoxin removal, liquid or lyophilized forms, preferred tags, and the desired functional sequence range for proteins. Submitting a written inquiry expedites the quoting process.
Product Overview
| Product Title | Rabbit anti-Human KDM1A Polyclonal Antibody |
| Description | The antibody against KDM1A was raised in rabbit using the Synthetic peptide of Human KDM1A as the immunogen. This antibody exists as a non-conjugated isotype IgG, Antigen affinity purified. This antibody has been validated on ELISA, WB, IHC. |
| Uniprot Id - Alink | O60341 |
| Host Species | Rabbit |
| Reactivity | Human, Mouse |
| Target Name | KDM1A |
| Target Synonyms | Amine oxidase (flavin containing) domain 2 antibody; Amine oxidase, flavin containing, 2 antibody; AOF2 antibody; BHC110 antibody; BRAF35 HDAC complex protein BHC110 antibody; BRAF35-HDAC complex protein BHC110 antibody; BRAF35/HDAC complex, 110-kD subunit antibody; CPRF antibody; EC1 antibody; FAD binding protein BRAF35 HDAC complex, 110 kDa subunit antibody; Flavin-containing amine oxidase domain-containing protein 2 antibody; KDM 1 antibody; KDM1 antibody; Kdm1a antibody; KDM1A_HUMAN antibody; KIAA0601 antibody; LSD 1 antibody; LSD1 antibody; Lysine (K) specific demethylase 1 antibody; Lysine (K) specific demethylase 1A antibody; Lysine demethylase 1A antibody; Lysine specific histone demethylase 1 antibody; Lysine specific histone demethylase 1A antibody; Lysine-specific demethylase 1 antibody; Lysine-specific demethylase 1A antibody; Lysine-specific histone demethylase 1A antibody |
| Immunogen Description | Synthetic peptide of Human KDM1A |
| Immunogen Species | Human |
| Immunogen Sequence | Complete sequences for the immunogen, target protein, and peptides are available upon request. |
| Conjugate | Non-conjugated |
| Clonality | Polyclonal |
| Isotype | IgG |
| Purification Method | Antigen affinity purified |
| Buffer | pH7.4 PBS, 0.05% NaN3, 40% Glycerol |
| Form | Liquid |
| Application | ELISA, WB, IHC |
| Storage Conditions | Upon receipt, store at -20°C or -80°C. Avoid repeated freeze. |
