Rabbit anti-Human ITGA2 Polyclonal Antibody
Beta LifeScience
SKU/CAT #: BLC-03573A
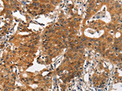
The image on the left is immunohistochemistry of paraffin-embedded Human gastic cancer tissue using the antibody Antibody) at dilution 1/30, on the right is treated with synthetic peptide. (Original magnification: ×200)
The image on the left is immunohistochemistry of paraffin-embedded Human breast cancer tissue using ITGA2 Antibody(ITGA2 Antibody) at dilution 1/30, on the right is treated with synthetic peptide. (Original magnification: ×200)
Gel: 6%SDS-PAGE, Lysate: 40 μg, Lane: A431 cells, Primary antibody: ITGA2 Antibody(ITGA2 Antibody) at dilution 1/300, Secondary antibody: Goat anti rabbit IgG at 1/8000 dilution, Exposure time: 30 seconds
Rabbit anti-Human ITGA2 Polyclonal Antibody
Beta LifeScience
SKU/CAT #: BLC-03573A
Our products are highly customizable to meet your specific needs. You can choose options such as endotoxin removal, liquid or lyophilized forms, preferred tags, and the desired functional sequence range for proteins. Submitting a written inquiry expedites the quoting process.
Product Overview
| Product Title | Rabbit anti-Human ITGA2 Polyclonal Antibody |
| Description | The antibody against ITGA2 was raised in rabbit using the Synthetic peptide of Human ITGA2 as the immunogen. This antibody exists as a non-conjugated isotype IgG, Antigen affinity purified. This antibody has been validated on ELISA, WB, IHC. |
| Uniprot Id - Alink | P17301 |
| Host Species | Rabbit |
| Reactivity | Human |
| Target Name | ITGA2 |
| Target Synonyms | BR antibody; CD 49b antibody; CD49 antigen like family member B antibody; CD49 antigen-like family member B antibody; CD49b antibody; CD49b antigen antibody; Collagen receptor antibody; DX5 antibody; Glycoprotein Ia deficiency included antibody; GP Ia antibody; GP Ia deficiency; included antibody; GPIa antibody; HPA 5 included antibody; HPA5 included antibody; Human platelet alloantigen system 5 antibody; Integrin alpha 2 antibody; Integrin alpha II antibody; Integrin alpha-2 antibody; Integrin; alpha 2 (CD49B alpha 2 subunit of VLA 2 receptor) antibody; ITA2_HUMAN antibody; ITGA2 antibody; Platelet alloantigen Br(a); included antibody; Platelet antigen Br antibody; Platelet glycoprotein GPIa antibody; Platelet glycoprotein Ia antibody; Platelet glycoprotein Ia/IIa antibody; Platelet membrane glycoprotein Ia antibody; Platelet receptor for collagen; deficiency of; included antibody; Very late activation protein 2 receptor alpha 2 subunit antibody; VLA 2 alpha chain antibody; VLA 2 antibody; VLA 2 subunit alpha antibody; VLA-2 subunit alpha antibody; VLA2 antibody; VLA2 receptor alpha 2 subunit antibody; VLAA2 antibody |
| Immunogen Description | Synthetic peptide of Human ITGA2 |
| Immunogen Species | Human |
| Immunogen Sequence | Complete sequences for the immunogen, target protein, and peptides are available upon request. |
| Conjugate | Non-conjugated |
| Clonality | Polyclonal |
| Isotype | IgG |
| Purification Method | Antigen affinity purified |
| Buffer | pH7.4 PBS, 0.05% NaN3, 40% Glycerol |
| Form | Liquid |
| Application | ELISA, WB, IHC |
| Storage Conditions | Upon receipt, store at -20°C or -80°C. Avoid repeated freeze. |
