Rabbit anti-Human IQCB1 Polyclonal Antibody
Beta LifeScience
SKU/CAT #: BLC-00757A
Western Blot | Positive WB detected in: Rat lung tissue, Mouse kidney tissue | All lanes: IQCB1 antibody at 3.2μg/ml | Secondary | Goat polyclonal to rabbit IgG at 1/50000 dilution | Predicted band size: 69, 54, 35 kDa | Observed band size: 69 kDa
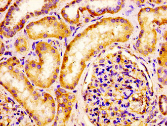
IHC image of IQCB1 Antibody diluted at 1:100 and staining in paraffin-embedded human kidney tissue performed on a Leica BondTM system. After dewaxing and hydration, antigen retrieval was mediated by high pressure in a citrate buffer (pH 6.0). Section was blocked with 10% normal goat serum 30min at RT. Then primary antibody (1% BSA) was incubated at 4°C overnight. The primary is detected by a biotinylated secondary antibody and visualized using an HRP conjugated SP system.
IHC image of IQCB1 Antibody diluted at 1:100 and staining in paraffin-embedded human breast cancer performed on a Leica BondTM system. After dewaxing and hydration, antigen retrieval was mediated by high pressure in a citrate buffer (pH 6.0). Section was blocked with 10% normal goat serum 30min at RT. Then primary antibody (1% BSA) was incubated at 4°C overnight. The primary is detected by a biotinylated secondary antibody and visualized using an HRP conjugated ABC system.
Rabbit anti-Human IQCB1 Polyclonal Antibody
Beta LifeScience
SKU/CAT #: BLC-00757A
Our products are highly customizable to meet your specific needs. You can choose options such as endotoxin removal, liquid or lyophilized forms, preferred tags, and the desired functional sequence range for proteins. Submitting a written inquiry expedites the quoting process.
Product Overview
| Product Title | Rabbit anti-Human IQCB1 Polyclonal Antibody |
| Description | The antibody against IQCB1 was raised in rabbit using the Recombinant Human IQ calmodulin-binding motif-containing protein 1 protein (445-598AA) as the immunogen. This antibody exists as a non-conjugated isotype IgG, purified by protein G with a purity greater than 95%. This antibody has been validated on ELISA, WB, IHC. |
| Uniprot Id - Alink | Q15051 |
| Host Species | Rabbit |
| Reactivity | Human, Rat, Mouse |
| Target Name | IQCB1 |
| Target Synonyms | IQ calmodulin-binding motif containing 1 antibody; IQ calmodulin-binding motif-containing protein 1 antibody; IQ motif containing B1 antibody; Iqcb1 antibody; IQCB1_HUMAN antibody; KIAA0036 antibody; Nephrocystin-5 antibody; NPHP5 antibody; p53 and DNA damage-regulated IQ motif protein antibody; SLSN5 antibody |
| Immunogen Description | Recombinant Human IQ calmodulin-binding motif-containing protein 1 protein (445-598AA) |
| Immunogen Species | Human |
| Immunogen Sequence | Complete sequences for the immunogen, target protein, and peptides are available upon request. |
| Conjugate | Non-conjugated |
| Clonality | Polyclonal |
| Isotype | IgG |
| Purification Method | >95%, Protein G purified |
| Buffer | 0.03% Proclin 300Constituents: 50% Glycerol, 0.01M PBS, pH 7.4 |
| Form | Liquid |
| Application | ELISA, WB, IHC |
| Storage Conditions | Upon receipt, store at -20°C or -80°C. Avoid repeated freeze. |
