Rabbit anti-Human HIST1H1C Polyclonal Antibody
Beta LifeScience
SKU/CAT #: BLC-00592A
Western Blot | Positive WB detected in: Hela whole cell lysate, A549 whole cell lysate, HL60 whole cell lysate | All lanes: HIST1H1C antibody at 1:500 | Secondary | Goat polyclonal to rabbit IgG at 1/40000 dilution | Predicted band size: 22 kDa | Observed band size: 22 kDa
IHC image of HIST1H1C (Ab-109) Antibody diluted at 1:50 and staining in paraffin-embedded human glioma performed on a Leica BondTM system. After dewaxing and hydration, antigen retrieval was mediated by high pressure in a citrate buffer (pH 6.0). Section was blocked with 10% normal goat serum 30min at RT. Then primary antibody (1% BSA) was incubated at 4°C overnight. The primary is detected by a biotinylated secondary antibody and visualized using an HRP conjugated SP system.
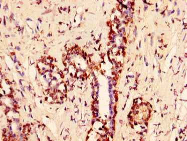
IHC image of HIST1H1C (Ab-109) Antibody diluted at 1:50 and staining in paraffin-embedded human breast cancer performed on a Leica BondTM system. After dewaxing and hydration, antigen retrieval was mediated by high pressure in a citrate buffer (pH 6.0). Section was blocked with 10% normal goat serum 30min at RT. Then primary antibody (1% BSA) was incubated at 4°C overnight. The primary is detected by a biotinylated secondary antibody and visualized using an HRP conjugated SP system.
Rabbit anti-Human HIST1H1C Polyclonal Antibody
Beta LifeScience
SKU/CAT #: BLC-00592A
Our products are highly customizable to meet your specific needs. You can choose options such as endotoxin removal, liquid or lyophilized forms, preferred tags, and the desired functional sequence range for proteins. Submitting a written inquiry expedites the quoting process.
Product Overview
| Product Title | Rabbit anti-Human HIST1H1C Polyclonal Antibody |
| Description | The antibody against HIST1H1C was raised in rabbit using the Peptide sequence around site of Lys (109) derived from Human Histone H1.2 as the immunogen. This antibody exists as a non-conjugated isotype IgG, Antigen affinity purified. This antibody has been validated on ELISA, WB, IHC, IF. |
| Uniprot Id - Alink | P16403 |
| Host Species | Rabbit |
| Reactivity | Human |
| Target Name | HIST1H1C |
| Target Synonyms | H1 histone family member 2 antibody; H1.a antibody; H12_HUMAN antibody; H1F2 antibody; H1s-1 antibody; HIST1H1C antibody; Histone 1 H1c antibody; Histone cluster 1 H1c antibody; Histone H1.2 antibody; Histone H1c antibody; Histone H1d antibody; Histone H1s-1 antibody; MGC3992 antibody |
| Immunogen Description | Peptide sequence around site of Lys (109) derived from Human Histone H1.2 |
| Immunogen Species | Human |
| Immunogen Sequence | Complete sequences for the immunogen, target protein, and peptides are available upon request. |
| Conjugate | Non-conjugated |
| Clonality | Polyclonal |
| Isotype | IgG |
| Purification Method | Antigen affinity purified |
| Buffer | 0.03% Proclin 300Constituents: 50% Glycerol, 0.01M PBS, pH 7.4 |
| Form | Liquid |
| Application | ELISA, WB, IHC, IF |
| Storage Conditions | Upon receipt, store at -20°C or -80°C. Avoid repeated freeze. |
