Rabbit anti-Human GSK3A Polyclonal Antibody
Beta LifeScience
SKU/CAT #: BLC-05641A
Western blot analysis of extracts from 293 cells untreated(lane 1) or treated with serum(lane 2) using GSK3a(Phospho-Ser21) Antibody.
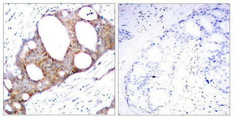
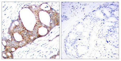
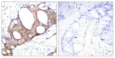
Immunohistochemical analysis of paraffin-embedded human breast carcinoma tissue using GSK3a(Phospho-Ser21) Antibody(left) or the same antibody preincubated with blocking peptide(right).
Immunofluorescence staining of methanol-fixed Hela cells showing cytoplasmic staining using GSK3a(Phospho-Ser21) Antibody.
Rabbit anti-Human GSK3A Polyclonal Antibody
Beta LifeScience
SKU/CAT #: BLC-05641A
Our products are highly customizable to meet your specific needs. You can choose options such as endotoxin removal, liquid or lyophilized forms, preferred tags, and the desired functional sequence range for proteins. Submitting a written inquiry expedites the quoting process.
Product Overview
| Product Title | Rabbit anti-Human GSK3A Polyclonal Antibody |
| Description | The antibody against GSK3A was raised in rabbit using the Peptide sequence around phosphorylation site of serine 21 (T-S-S(p)-F-A) derived from Human GSK3a. as the immunogen. Antibodies were produced by immunizing rabbits with synthetic phosphopeptide and KLH conjugates. Antibodies were purified by affinity-chromatography using epitope-specific phosphopeptide. Non-phospho specific antibodies were removed by chromatogramphy usi This antibody has been validated on ELISA, WB, IHC, IF. |
| Uniprot Id - Alink | P49840 |
| Host Species | Rabbit |
| Reactivity | Human, Mouse, Rat |
| Target Name | GSK3A |
| Target Synonyms | DKFZp686D0638 antibody; Glycogen synthase kinase 3 alpha antibody; Glycogen synthase kinase-3 alpha antibody; GSK 3 alpha antibody; GSK 3A antibody; GSK-3 alpha antibody; Gsk3a antibody; GSK3A_HUMAN antibody; GSK3alpha antibody; Serine/threonine protein kinase GSK3A antibody |
| Immunogen Description | Peptide sequence around phosphorylation site of serine 21 (T-S-S(p)-F-A) derived from Human GSK3a. |
| Immunogen Species | Human |
| Immunogen Sequence | Complete sequences for the immunogen, target protein, and peptides are available upon request. |
| Clonality | Polyclonal |
| Purification Method | Antibodies were produced by immunizing rabbits with synthetic phosphopeptide and KLH conjugates. Antibodies were purified by affinity-chromatography using epitope-specific phosphopeptide. Non-phospho specific antibodies were removed by chromatogramphy usi |
| Buffer | Supplied at 1.0mg/mL in phosphate buffered saline (without Mg2+ and Ca2+), pH 7.4, 150mM NaCl, 0.02% sodium azide and 50% glycerol. |
| Form | Liquid |
| Application | ELISA, WB, IHC, IF |
| Storage Conditions | Upon receipt, store at -20°C or -80°C. Avoid repeated freeze. |
