Rabbit anti-Human GPT Polyclonal Antibody
Beta LifeScience
SKU/CAT #: BLC-05965A
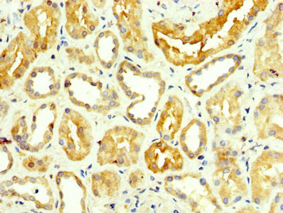
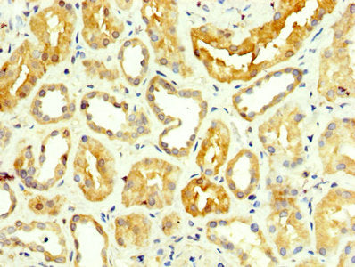
IHC image of the antibody diluted at 1:350 and staining in paraffin-embedded human kidney tissue performed on a Leica BondTM system. After dewaxing and hydration, antigen retrieval was mediated by high pressure in a citrate buffer (pH 6.0). Section was blocked with 10% normal goat serum 30min at RT. Then primary antibody (1% BSA) was incubated at 4°C overnight. The primary is detected by a biotinylated secondary antibody and visualized using an HRP conjugated SP system.
Immunofluorescent analysis of HepG2 cells using GPT Antibody at dilution of 1:100 and Alexa Fluor 488-congugated AffiniPure Goat Anti-Rabbit IgG(H+L)
Western Blot | Positive WB detected in: HepG2 whole cell lysate, Rat liver tissue, Mouse liver tissue | All lanes: GPT antibody at 4.5µg/ml | Secondary | Goat polyclonal to rabbit IgG at 1/50000 dilution | Predicted band size: 55 kDa | Observed band size: 55 kDa
Rabbit anti-Human GPT Polyclonal Antibody
Beta LifeScience
SKU/CAT #: BLC-05965A
Our products are highly customizable to meet your specific needs. You can choose options such as endotoxin removal, liquid or lyophilized forms, preferred tags, and the desired functional sequence range for proteins. Submitting a written inquiry expedites the quoting process.
Product Overview
| Product Title | Rabbit anti-Human GPT Polyclonal Antibody |
| Description | The antibody against GPT was raised in rabbit using the Recombinant Human Alanine aminotransferase 1 protein (2-496AA) as the immunogen. This antibody exists as a non-conjugated isotype IgG, purified by protein G with a purity greater than 95%. This antibody has been validated on ELISA, WB, IHC, IF, IP. |
| Uniprot Id - Alink | P24298 |
| Host Species | Rabbit |
| Reactivity | Human, Mouse, Rat |
| Target Name | GPT |
| Target Synonyms | AAT1 antibody; Alanine aminotransferase 1 antibody; Alanine aminotransferase antibody; ALAT1_HUMAN antibody; ALT1 antibody; Glutamate pyruvate transaminase 1 antibody; Glutamic alanine transaminase 1 antibody; Glutamic pyruvate transaminase (alanine aminotransferase) antibody; Glutamic pyruvic transaminase 1 antibody; Glutamic--alanine transaminase 1 antibody; Glutamic--pyruvic transaminase 1 antibody; GPT 1 antibody; gpt antibody; GPT1 antibody |
| Immunogen Description | Recombinant Human Alanine aminotransferase 1 protein (2-496AA) |
| Immunogen Species | Human |
| Immunogen Sequence | Complete sequences for the immunogen, target protein, and peptides are available upon request. |
| Conjugate | Non-conjugated |
| Clonality | Polyclonal |
| Isotype | IgG |
| Purification Method | >95%, Protein G purified |
| Buffer | 0.03% Proclin 300Constituents: 50% Glycerol, 0.01M PBS, PH 7.4 |
| Form | Liquid |
| Application | ELISA, WB, IHC, IF, IP |
| Storage Conditions | Upon receipt, store at -20°C or -80°C. Avoid repeated freeze. |
