Rabbit anti-Human DDX11 Polyclonal Antibody
Beta LifeScience
SKU/CAT #: BLC-02064A
Western blot | All lanes: DDX11 antibody at 8.47µg/ml | Lane 1: Mouse gonadal tissue | Lane 2: K562 whole cell lysate | Secondary | Goat polyclonal to rabbit IgG at 1/10000 dilution | Predicted band size: 109, 102, 99, 97, 33 kDa | Observed band size: 109 kDa
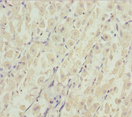
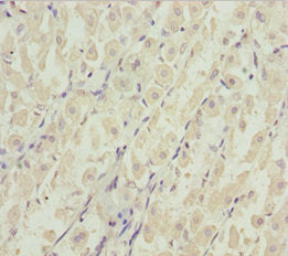
Immunohistochemistry of paraffin-embedded human tonsil tissue using DDX11 Antibody at dilution of 1:100
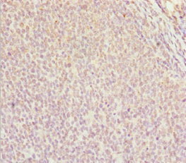
Immunohistochemistry of paraffin-embedded human gastric cancer using DDX11 Antibody at dilution of 1:100
Rabbit anti-Human DDX11 Polyclonal Antibody
Beta LifeScience
SKU/CAT #: BLC-02064A
Our products are highly customizable to meet your specific needs. You can choose options such as endotoxin removal, liquid or lyophilized forms, preferred tags, and the desired functional sequence range for proteins. Submitting a written inquiry expedites the quoting process.
Product Overview
| Product Title | Rabbit anti-Human DDX11 Polyclonal Antibody |
| Description | The antibody against DDX11 was raised in rabbit using the Recombinant Human ATP-dependent DNA helicase DDX11 protein (1-220AA) as the immunogen. This antibody exists as a non-conjugated isotype IgG, Antigen affinity purified. This antibody has been validated on ELISA, WB, IHC. |
| Uniprot Id - Alink | Q96FC9 |
| Host Species | Rabbit |
| Reactivity | Human, Mouse |
| Target Name | DDX11 |
| Target Synonyms | CHL1 antibody; CHL1 related helicase gene 1 antibody; CHL1-like helicase homolog antibody; CHL1-related protein 1 antibody; CHLR1 antibody; Ddx11 antibody; DDX11_HUMAN antibody; DEAD/H (Asp Glu Ala Asp/His) box polypeptide 11 antibody; DEAD/H (Asp-Glu-Ala-Asp/His) box helicase 11 antibody; DEAD/H (Asp-Glu-Ala-Asp/His) box polypeptide 11 (CHL1-like helicase homolog; S. cerevisiae) antibody; DEAD/H box antibody; DEAD/H box protein 11 antibody; hCHLR1 antibody; Keratinocyte growth factor regulated gene 2 protein antibody; Keratinocyte growth factor-regulated gene 2 protein antibody; KRG 2 antibody; KRG-2 antibody; KRG2 antibody; MGC133249 antibody; MGC9335 antibody; OTTHUMP00000238778 antibody; OTTHUMP00000238780 antibody; OTTHUMP00000238784 antibody; OTTHUMP00000238785 antibody; Probable ATP dependent RNA helicase DDX11 antibody; Probable ATP-dependent RNA helicase DDX11 antibody; WABS antibody |
| Immunogen Description | Recombinant Human ATP-dependent DNA helicase DDX11 protein (1-220AA) |
| Immunogen Species | Human |
| Immunogen Sequence | Complete sequences for the immunogen, target protein, and peptides are available upon request. |
| Conjugate | Non-conjugated |
| Clonality | Polyclonal |
| Isotype | IgG |
| Purification Method | Antigen affinity purified |
| Buffer | PBS with 0.02% sodium azide, 50% glycerol, pH7.3. |
| Form | Liquid |
| Application | ELISA, WB, IHC |
| Storage Conditions | Upon receipt, store at -20°C or -80°C. Avoid repeated freeze. |
