Rabbit anti-Human CYP2E1 Polyclonal Antibody
Beta LifeScience
SKU/CAT #: BLC-04191A
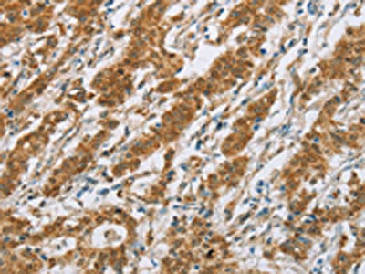
The image on the left is immunohistochemistry of paraffin-embedded Human liver cancer tissue using the antibody Antibody) at dilution 1/30, on the right is treated with fusion protein. (Original magnification: ×200)
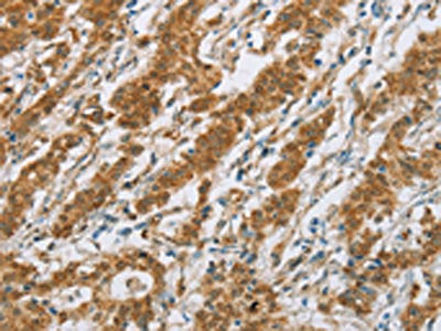
The image on the left is immunohistochemistry of paraffin-embedded Human gastric cancer tissue using CYP2E1 Antibody(CYP2E1 Antibody) at dilution 1/30, on the right is treated with fusion protein. (Original magnification: ×200)
Gel: 8%SDS-PAGE, Lysate: 40 μg, Lane: Mouse liver tissue, Primary antibody: CYP2E1 Antibody(CYP2E1 Antibody) at dilution 1/250, Secondary antibody: Goat anti rabbit IgG at 1/8000 dilution, Exposure time: 10 seconds
Rabbit anti-Human CYP2E1 Polyclonal Antibody
Beta LifeScience
SKU/CAT #: BLC-04191A
Our products are highly customizable to meet your specific needs. You can choose options such as endotoxin removal, liquid or lyophilized forms, preferred tags, and the desired functional sequence range for proteins. Submitting a written inquiry expedites the quoting process.
Product Overview
| Product Title | Rabbit anti-Human CYP2E1 Polyclonal Antibody |
| Description | The antibody against CYP2E1 was raised in rabbit using the Fusion protein of Human CYP2E1 as the immunogen. This antibody exists as a non-conjugated isotype IgG, Antigen affinity purified. This antibody has been validated on ELISA, WB, IHC. |
| Uniprot Id - Alink | P05181 |
| Host Species | Rabbit |
| Reactivity | Human, Mouse, Rat |
| Target Name | CYP2E1 |
| Target Synonyms | 4-nitrophenol 2-hydroxylase antibody; CP2E1_HUMAN antibody; CPE1 antibody; CYP2E antibody; Cyp2e1 antibody; CYPIIE1 antibody; Cytochrome P450 2E1 antibody; Cytochrome P450 isozyme 3A antibody; Cytochrome P450 LM3A antibody; Cytochrome P450; family 2; subfamily e; polypeptide 1 antibody; cytochrome P450; subfamily IIE (ethanol-inducible); polypeptide 1 antibody; Cytochrome P450; subfamily IIE antibody; Cytochrome P450-ALC antibody; Cytochrome P450-J antibody; Cytochrome P450RLM6 antibody; EC 1.14.13.- antibody; EC 1.14.13.n7 antibody; Ethanol-inducible P450 antibody; Flavoprotein-linked monooxygenase antibody; MGC133529 antibody; Microsomal monooxygenase antibody; OTTHUMP00000020813 antibody; OTTHUMP00000046571 antibody; P450 ALC antibody; P450-J antibody; P450C2E antibody; P450J antibody; P450RLM6 antibody; Xenobiotic monooxygenase antibody |
| Immunogen Description | Fusion protein of Human CYP2E1 |
| Immunogen Species | Human |
| Immunogen Sequence | Complete sequences for the immunogen, target protein, and peptides are available upon request. |
| Conjugate | Non-conjugated |
| Clonality | Polyclonal |
| Isotype | IgG |
| Purification Method | Antigen affinity purified |
| Buffer | pH7.4 PBS, 0.05% NaN3, 40% Glycerol |
| Form | Liquid |
| Application | ELISA, WB, IHC |
| Storage Conditions | Upon receipt, store at -20°C or -80°C. Avoid repeated freeze. |
