Rabbit anti-Human CD48 Polyclonal Antibody
Beta LifeScience
SKU/CAT #: BLC-03382A
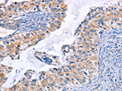
The image on the left is immunohistochemistry of paraffin-embedded Human thyroid cancer tissue using the antibody Antibody) at dilution 1/50, on the right is treated with synthetic peptide. (Original magnification: ×200)
The image on the left is immunohistochemistry of paraffin-embedded Human cervical cancer tissue using CD48 Antibody(CD48 Antibody) at dilution 1/50, on the right is treated with synthetic peptide. (Original magnification: ×200)
Gel: 12%SDS-PAGE, Lysate: 40 μg, Lane: Raw264.7 cells, Primary antibody: CD48 Antibody(CD48 Antibody) at dilution 1/550, Secondary antibody: Goat anti rabbit IgG at 1/8000 dilution, Exposure time: 3 minutes
Rabbit anti-Human CD48 Polyclonal Antibody
Beta LifeScience
SKU/CAT #: BLC-03382A
Our products are highly customizable to meet your specific needs. You can choose options such as endotoxin removal, liquid or lyophilized forms, preferred tags, and the desired functional sequence range for proteins. Submitting a written inquiry expedites the quoting process.
Product Overview
| Product Title | Rabbit anti-Human CD48 Polyclonal Antibody |
| Description | The antibody against CD48 was raised in rabbit using the Synthetic peptide of Human CD48 as the immunogen. This antibody exists as a non-conjugated isotype IgG, Antigen affinity purified. This antibody has been validated on ELISA, WB, IHC. |
| Uniprot Id - Alink | P09326 |
| Host Species | Rabbit |
| Reactivity | Human, Mouse |
| Target Name | CD48 |
| Target Synonyms | Antigen CD48 antibody; B cell membrane protein antibody; B lymphocyte activation marker BLAST 1 antibody; B-cell activation marker antibody; B-lymphocyte activation marker BLAST-1 antibody; BCM 1 surface antigen antibody; BCM1 antibody; BCM1 surface antigen antibody; BLAST 1 antibody; BLAST antibody; BLAST1 antibody; CD 48 antibody; CD48 antibody; CD48 antigen (B cell membrane protein) antibody; CD48 antigen antibody; CD48 molecule antibody; CD48 protein antibody; CD48_HUMAN antibody; hCD48 antibody; Leucocyte antigen MEM 102 antibody; Leukocyte antigen MEM-102 antibody; mCD48 antibody; MEM 102 antibody; MEM-102 antibody; MEM102 antibody; Signaling lymphocytic activation molecule 2 antibody; SLAM family member 2 antibody; SLAMF 2 antibody; SLAMF2 antibody; TCT.1 antibody |
| Immunogen Description | Synthetic peptide of Human CD48 |
| Immunogen Species | Human |
| Immunogen Sequence | Complete sequences for the immunogen, target protein, and peptides are available upon request. |
| Conjugate | Non-conjugated |
| Clonality | Polyclonal |
| Isotype | IgG |
| Purification Method | Antigen affinity purified |
| Buffer | pH7.4 PBS, 0.05% NaN3, 40% Glycerol |
| Form | Liquid |
| Application | ELISA, WB, IHC |
| Storage Conditions | Upon receipt, store at -20°C or -80°C. Avoid repeated freeze. |
