Rabbit anti-Human BCL10 Polyclonal Antibody
Beta LifeScience
            SKU/CAT #: BLC-05933A
          
      
 
    Western blot | All lanes: B-cell lymphoma/leukemia 10 antibody at 9μg/ml | Lane 1: Mouse gonad tissue | Lane 2: MCF-7 whole cell lysate | Lane 3: NIH/3T3 whole cell lysate | Secondary | Goat polyclonal to rabbit IgG at 1/10000 dilution | Predicted band size: 26 kDa | Observed band size: 26 kDa
  
 
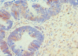
    Immunohistochemistry of paraffin-embedded human ovarian cancer using BCL10 Antibody at dilution of 1:100
  
 
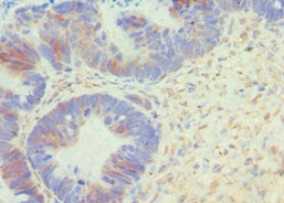
    Immunohistochemistry of paraffin-embedded human endometrial cancer using BCL10 Antibody at dilution of 1:100
  
Rabbit anti-Human BCL10 Polyclonal Antibody
Beta LifeScience
            SKU/CAT #: BLC-05933A
          
            
                      Our products are highly customizable to meet your specific needs. You can choose options such as endotoxin removal, liquid or lyophilized forms, preferred tags, and the desired functional sequence range for proteins. Submitting a written inquiry expedites the quoting process.
                    
Product Overview
| Product Title | Rabbit anti-Human BCL10 Polyclonal Antibody | 
| Description | The antibody against BCL10 was raised in rabbit using the Recombinant Human B-cell lymphoma/leukemia 10 protein (1-233AA) as the immunogen. This antibody exists as a non-conjugated isotype IgG, Antigen affinity purified. This antibody has been validated on ELISA, WB, IHC. | 
| Uniprot Id - Alink | O95999 | 
| Host Species | Rabbit | 
| Reactivity | Human, Mouse | 
| Target Name | BCL10 | 
| Target Synonyms | AI132454 antibody; B cell CLL/lymphoma 10 antibody; B cell lymphoma/leukemia10 antibody; B-cell CLL/lymphoma 10 antibody; B-cell leukemia/lymphoma 10 antibody; B-cell lymphoma/leukemia 10 antibody; Bcl 10 antibody; Bcl-10 antibody; Bcl10 antibody; BCL10_HUMAN antibody; c E10 antibody; c-E10 antibody; C81403 antibody; CARD containing apoptotic signaling protein antibody; CARD containing molecule enhancing NF kappa B antibody; CARD containing molecule enhancing NF kB antibody; CARD containing molecule enhancing NF-kB antibody; CARD containing molecule enhancing NFkB antibody; CARD containing proapoptotic protein antibody; CARD like apoptotic protein antibody; CARD-containing apoptotic signaling protein antibody; CARD-containing molecule enhancing NF-kappa-B antibody; CARD-containing proapoptotic protein antibody; CARD-like apoptotic protein antibody; CARMEN antibody; Caspase recruiting domain containing protein antibody; caspase-recruiting domain-containing protein antibody; cCARMEN antibody; cE 10 antibody; cE10 antibody; CED 3/ICH 1 prodomain homologous E10 like regulator antibody; CED-3/ICH-1 prodomain homologous E10-like regulator antibody; CED3/ICH1 prodomain homologous E10 like regulator antibody; Cellular E10 antibody; Cellular homolog of vCARMEN antibody; Cellular-E10 antibody; CIPER antibody; CLAP antibody; hCLAP antibody; Mammalian CARD containing adapter molecule E10 antibody; Mammalian CARD-containing adapter molecule E10 antibody; mE 10 antibody; mE10 antibody; R-RCD1 antibody | 
| Immunogen Description | Recombinant Human B-cell lymphoma/leukemia 10 protein (1-233AA) | 
| Immunogen Species | Human | 
| Immunogen Sequence | Complete sequences for the immunogen, target protein, and peptides are available upon request. | 
| Conjugate | Non-conjugated | 
| Clonality | Polyclonal | 
| Isotype | IgG | 
| Purification Method | Antigen affinity purified | 
| Buffer | PBS with 0.02% sodium azide, 50% glycerol, pH7.3. | 
| Form | Liquid | 
| Application | ELISA, WB, IHC | 
| Storage Conditions | Upon receipt, store at -20°C or -80°C. Avoid repeated freeze. | 
        
      
          
        