Rabbit anti-Human AURKC Polyclonal Antibody
Beta LifeScience
            SKU/CAT #: BLC-00908A
          
      
 
    Western Blot  | Positive WB detected in: A375 whole cell lysate  | All lanes: AURKC antibody at 3.2µg/ml  | Secondary  | Goat polyclonal to rabbit IgG at 1/50000 dilution  | Predicted band size: 36, 33, 34 kDa  | Observed band size: 45 kDa
  
 
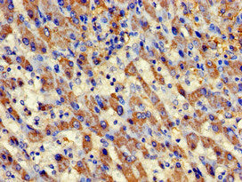
    Immunohistochemistry of paraffin-embedded human liver cancer using AURKC Antibody at dilution of 1:100
  
 
    Immunohistochemistry of paraffin-embedded human melanoma using AURKC Antibody at dilution of 1:100
  
Rabbit anti-Human AURKC Polyclonal Antibody
Beta LifeScience
            SKU/CAT #: BLC-00908A
          
            
                      Our products are highly customizable to meet your specific needs. You can choose options such as endotoxin removal, liquid or lyophilized forms, preferred tags, and the desired functional sequence range for proteins. Submitting a written inquiry expedites the quoting process.
                    
Product Overview
| Product Title | Rabbit anti-Human AURKC Polyclonal Antibody | 
| Description | The antibody against AURKC was raised in rabbit using the Recombinant Human Aurora kinase C protein (12-143AA) as the immunogen. This antibody exists as a non-conjugated isotype IgG, purified by protein G with a purity greater than 95%. This antibody has been validated on ELISA, WB, IHC, IF. | 
| Uniprot Id - Alink | Q9UQB9 | 
| Host Species | Rabbit | 
| Reactivity | Human | 
| Target Name | AURKC | 
| Target Synonyms | AURKC antibody; AIE 2 antibody; Aie1 antibody; AIE2 antibody; AIK 3 antibody; AIK3 antibody; ARK 3 antibody; ARK-3 antibody; ARK3 antibody; Aur C antibody; AurC antibody; Aurkc antibody; AURKC_HUMAN antibody; aurora 3 antibody; Aurora C antibody; Aurora kinase C antibody; aurora related kinase 3 antibody; Aurora-related kinase 3 antibody; Aurora/Ipl1 related kinase 3 antibody; Aurora/Ipl1-related kinase 3 antibody; Aurora/Ipl1/Eg2 protein 2 antibody; EC 2.7.11.1 antibody; Serine threonine protein kinase 13 antibody; serine/threonine kinase 13 (aurora/IPL1 like) antibody; serine/threonine protein kinase aurora C antibody; Serine/threonine-protein kinase 13 antibody; Serine/threonine-protein kinase aurora-C antibody; SPGF5 antibody; STK13 antibody | 
| Immunogen Description | Recombinant Human Aurora kinase C protein (12-143AA) | 
| Immunogen Species | Human | 
| Immunogen Sequence | Complete sequences for the immunogen, target protein, and peptides are available upon request. | 
| Conjugate | Non-conjugated | 
| Clonality | Polyclonal | 
| Isotype | IgG | 
| Purification Method | >95%, Protein G purified | 
| Buffer | 0.03% Proclin 300Constituents: 50% Glycerol, 0.01M PBS, pH 7.4 | 
| Form | Liquid | 
| Application | ELISA, WB, IHC, IF | 
| Storage Conditions | Upon receipt, store at -20°C or -80°C. Avoid repeated freeze. | 
        
      
          
        