Rabbit anti-Human ATG4A Polyclonal Antibody
Beta LifeScience
            SKU/CAT #: BLC-03442A
          
      
 
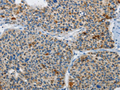
    The image on the left is immunohistochemistry of paraffin-embedded Human liver cancer tissue using the antibody Antibody) at dilution 1/30, on the right is treated with synthetic peptide. (Original magnification: ×200)
  
 
    The image on the left is immunohistochemistry of paraffin-embedded Human brain  tissue using ATG4A Antibody(ATG4A Antibody) at dilution 1/30, on the right is treated with synthetic peptide. (Original magnification: ×200)
  
 
    Gel: 10%SDS-PAGE, Lysate: 40 μg, Lane 1-2: 231 cells, human liver cancer tissue, Primary antibody: ATG4A Antibody(ATG4A Antibody) at dilution 1/300, Secondary antibody: Goat anti rabbit IgG at 1/8000 dilution, Exposure time: 10 minutes
  
Rabbit anti-Human ATG4A Polyclonal Antibody
Beta LifeScience
            SKU/CAT #: BLC-03442A
          
            
                      Our products are highly customizable to meet your specific needs. You can choose options such as endotoxin removal, liquid or lyophilized forms, preferred tags, and the desired functional sequence range for proteins. Submitting a written inquiry expedites the quoting process.
                    
Product Overview
| Product Title | Rabbit anti-Human ATG4A Polyclonal Antibody | 
| Description | The antibody against ATG4A was raised in rabbit using the Synthetic peptide of Human ATG4A as the immunogen. This antibody exists as a non-conjugated isotype IgG, Antigen affinity purified. This antibody has been validated on ELISA, WB, IHC. | 
| Uniprot Id - Alink | Q8WYN0 | 
| Host Species | Rabbit | 
| Reactivity | Human | 
| Target Name | ATG4A | 
| Target Synonyms | AI627006 antibody; APG4 autophagy 4 homolog A antibody; Apg4a antibody; ATG4 autophagy related 4 homolog A (S. cerevisiae) antibody; ATG4 autophagy related 4 homolog A antibody; ATG4A antibody; ATG4A_HUMAN antibody; Atg4al antibody; AUT like 2 cysteine endopeptidase antibody; AUT-like 2 cysteine endopeptidase antibody; Autl2 antibody; Autophagin 2 antibody; Autophagin-2 antibody; Autophagy related 4A cysteine peptidase antibody; Autophagy related cysteine endopeptidase 2 antibody; Autophagy related protein 4 homolog A antibody; Autophagy-related cysteine endopeptidase 2 antibody; Autophagy-related protein 4 homolog A antibody; AV169859 antibody; Cysteine protease ATG4A antibody; hAPG4A antibody; MGC107179 antibody | 
| Immunogen Description | Synthetic peptide of Human ATG4A | 
| Immunogen Species | Human | 
| Immunogen Sequence | Complete sequences for the immunogen, target protein, and peptides are available upon request. | 
| Conjugate | Non-conjugated | 
| Clonality | Polyclonal | 
| Isotype | IgG | 
| Purification Method | Antigen affinity purified | 
| Buffer | pH7.4 PBS, 0.05% NaN3, 40% Glycerol | 
| Form | Liquid | 
| Application | ELISA, WB, IHC | 
| Storage Conditions | Upon receipt, store at -20°C or -80°C. Avoid repeated freeze. | 
        
      
          
        