Rabbit anti-Human ARHGEF7 Polyclonal Antibody
Beta LifeScience
SKU/CAT #: BLC-04381A
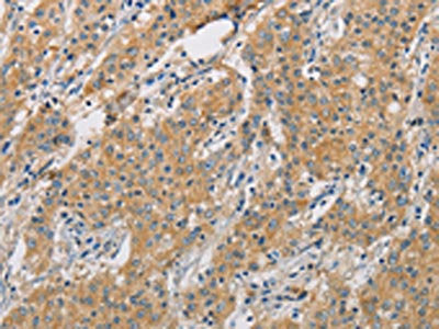
The image on the left is immunohistochemistry of paraffin-embedded Human thyroid cancer tissue using the antibody Antibody) at dilution 1/40, on the right is treated with fusion protein. (Original magnification: ×200)
The image on the left is immunohistochemistry of paraffin-embedded Human gastric cancer tissue using ARHGEF7 Antibody(ARHGEF7 Antibody) at dilution 1/40, on the right is treated with fusion protein. (Original magnification: ×200)
Gel: 8%SDS-PAGE, Lysate: 40 μg, Lane: A172 cells, Primary antibody: ARHGEF7 Antibody(ARHGEF7 Antibody) at dilution 1/800, Secondary antibody: Goat anti rabbit IgG at 1/8000 dilution, Exposure time: 3 minutes
Rabbit anti-Human ARHGEF7 Polyclonal Antibody
Beta LifeScience
SKU/CAT #: BLC-04381A
Our products are highly customizable to meet your specific needs. You can choose options such as endotoxin removal, liquid or lyophilized forms, preferred tags, and the desired functional sequence range for proteins. Submitting a written inquiry expedites the quoting process.
Product Overview
| Product Title | Rabbit anti-Human ARHGEF7 Polyclonal Antibody |
| Description | The antibody against ARHGEF7 was raised in rabbit using the Fusion protein of Human ARHGEF7 as the immunogen. This antibody exists as a non-conjugated isotype IgG, Antigen affinity purified. This antibody has been validated on ELISA, WB, IHC. |
| Uniprot Id - Alink | Q14155 |
| Host Species | Rabbit |
| Reactivity | Human, Mouse, Rat |
| Target Name | ARHGEF7 |
| Target Synonyms | ARHG7 antibody; ARHG7_HUMAN antibody; ARHGEF 7 antibody; Arhgef7 antibody; Beta pix antibody; Beta-Pix antibody; betaPix antibody; betaPix-b antibody; betaPix-c antibody; Cool antibody; COOL-1 antibody; COOL1 antibody; DKFZp686C12170 antibody; DKFZp761K1021 antibody; KIAA0142 antibody; KIAA0412 antibody; mKIAA0142 antibody; Nbla10314 antibody; P50 antibody; P50BP antibody; p85 antibody; P85COOL1 antibody; P85SPR antibody; PAK interacting exchange factor beta antibody; PAK-interacting exchange factor beta antibody; PAK3 antibody; Pak3bp antibody; PIX antibody; PIXB antibody; Rho guanine nucleotide exchange factor (GEF) 7 antibody; Rho guanine nucleotide exchange factor (GEF) 7b antibody; Rho guanine nucleotide exchange factor (GEF7) antibody; Rho guanine nucleotide exchange factor 7 antibody; SH3 domain containing proline rich protein antibody |
| Immunogen Description | Fusion protein of Human ARHGEF7 |
| Immunogen Species | Human |
| Immunogen Sequence | Complete sequences for the immunogen, target protein, and peptides are available upon request. |
| Conjugate | Non-conjugated |
| Clonality | Polyclonal |
| Isotype | IgG |
| Purification Method | Antigen affinity purified |
| Buffer | pH7.4 PBS, 0.05% NaN3, 40% Glycerol |
| Form | Liquid |
| Application | ELISA, WB, IHC |
| Storage Conditions | Upon receipt, store at -20°C or -80°C. Avoid repeated freeze. |
