Rabbit anti-Human AP2A1 Polyclonal Antibody
Beta LifeScience
SKU/CAT #: BLC-03021A
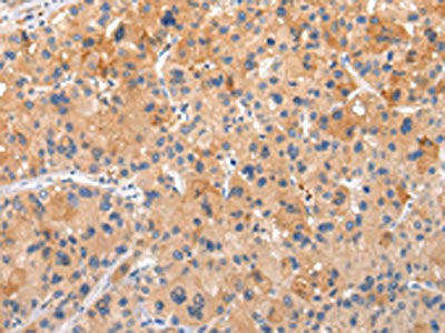
The image on the left is immunohistochemistry of paraffin-embedded Human liver cancer tissue using the antibody Antibody) at dilution 1/20, on the right is treated with synthetic peptide. (Original magnification: ×200)
The image on the left is immunohistochemistry of paraffin-embedded Human esophagus cancer tissue using AP2A1 Antibody(AP2A1 Antibody) at dilution 1/20, on the right is treated with synthetic peptide. (Original magnification: ×200)
Gel: 6%SDS-PAGE, Lysate: 40 μg, Lane: Hela cell, Primary antibody: AP2A1 Antibody(AP2A1 Antibody) at dilution 1/200 dilution, Secondary antibody: Goat anti rabbit IgG at 1/8000 dilution, Exposure time: 1 minute
Rabbit anti-Human AP2A1 Polyclonal Antibody
Beta LifeScience
SKU/CAT #: BLC-03021A
Our products are highly customizable to meet your specific needs. You can choose options such as endotoxin removal, liquid or lyophilized forms, preferred tags, and the desired functional sequence range for proteins. Submitting a written inquiry expedites the quoting process.
Product Overview
| Product Title | Rabbit anti-Human AP2A1 Polyclonal Antibody |
| Description | The antibody against AP2A1 was raised in rabbit using the Synthetic peptide of Human AP2A1 as the immunogen. This antibody exists as a non-conjugated isotype IgG, Antigen affinity purified. This antibody has been validated on ELISA, WB, IHC. |
| Uniprot Id - Alink | O95782 |
| Host Species | Rabbit |
| Reactivity | Human, Mouse |
| Target Name | AP2A1 |
| Target Synonyms | 100 kDa coated vesicle protein A antibody; Adapter-related protein complex 2 alpha-1 subunit antibody; adapter-related protein complex 2 subunit alpha-1 antibody; Adaptin alpha A antibody; Adaptin alpha antibody; Adaptor protein complex AP 2 alpha 1 subunit antibody; adaptor protein complex AP 2 subunit alpha 1 antibody; Adaptor protein complex AP-2 subunit alpha-1 antibody; Adaptor protein complex AP2 alpha 1 subunit antibody; adaptor protein complex AP2 subunit alpha 1 antibody; Adaptor related protein complex 2 alpha 1 subunit antibody; Adaptor related protein complex AP 2 alpha 1 subunit antibody; Adaptor related protein complex AP2 alpha 1 subunit antibody; ADTAA antibody; Alpha A adaptin antibody; Alpha adaptin A antibody; Alpha-adaptin A antibody; alpha1 adaptin antibody; Alpha1-adaptin antibody; AP 2 alpha antibody; AP 2 complex subunit alpha 1 antibody; AP-2 complex subunit alpha-1 antibody; AP2 complex subunit alpha 1 antibody; AP2-ALPHA antibody; Ap2a1 antibody; AP2A1_HUMAN antibody; CLAPA 1 antibody; CLAPA1 antibody; Clathrin adaptor complex AP2. alpha subunit antibody; Clathrin assembly protein complex 2 alpha A large chain antibody; Clathrin assembly protein complex 2 alpha-A large chain antibody; Clathrin associated / assembly / adaptor protein large alpha 1 antibody; clathrin associated assembly adaptor protein large alpha 1 antibody; clathrin associated/assembly/adaptor protein, large, alpha 1 antibody; Plasma membrane adaptor HA 2/AP 2 adaptin alpha A subunit antibody; Plasma membrane adaptor HA2/AP2 adaptin alpha A subunit antibody |
| Immunogen Description | Synthetic peptide of Human AP2A1 |
| Immunogen Species | Human |
| Immunogen Sequence | Complete sequences for the immunogen, target protein, and peptides are available upon request. |
| Conjugate | Non-conjugated |
| Clonality | Polyclonal |
| Isotype | IgG |
| Purification Method | Antigen affinity purified |
| Buffer | pH7.4 PBS, 0.05% NaN3, 40% Glycerol |
| Form | Liquid |
| Application | ELISA, WB, IHC |
| Storage Conditions | Upon receipt, store at -20°C or -80°C. Avoid repeated freeze. |
