Rabbit anti-Human AKR1B10 Polyclonal Antibody
Beta LifeScience
SKU/CAT #: BLC-05172A
Western blot | All lanes: AKR1B10 antibody at 4µg/ml + A549 whole cell lysate | Secondary | Goat polyclonal to rabbit IgG at 1/10000 dilution | Predicted band size: 36 kDa | Observed band size: 36 kDa
Immunohistochemistry of paraffin-embedded human small intestine tissue using AKR1B10 Antibody at dilution of 1:100
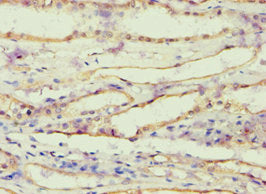
Immunohistochemistry of paraffin-embedded human kidney tissue using AKR1B10 Antibody at dilution of 1:100
Rabbit anti-Human AKR1B10 Polyclonal Antibody
Beta LifeScience
SKU/CAT #: BLC-05172A
Our products are highly customizable to meet your specific needs. You can choose options such as endotoxin removal, liquid or lyophilized forms, preferred tags, and the desired functional sequence range for proteins. Submitting a written inquiry expedites the quoting process.
Product Overview
| Product Title | Rabbit anti-Human AKR1B10 Polyclonal Antibody |
| Description | The antibody against AKR1B10 was raised in rabbit using the Recombinant Human Aldo-keto reductase family 1 member B10 protein (1-316AA) as the immunogen. This antibody exists as a non-conjugated isotype IgG, Antigen affinity purified. This antibody has been validated on ELISA, WB, IHC. |
| Uniprot Id - Alink | O60218 |
| Host Species | Rabbit |
| Reactivity | Human |
| Target Name | AKR1B10 |
| Target Synonyms | AK1BA_HUMAN antibody; AKR1B10 antibody; AKR1B11 antibody; AKR1B12 antibody; Aldo keto reductase family 1 member B10 antibody; aldo keto reductase family 1 member B11 antibody; Aldo-keto reductase family 1 member B10 (aldose reductase) antibody; Aldo-keto reductase family 1 member B10 antibody; Aldo-keto reductase family 1 member B11 (aldose reductase-like) antibody; aldose reductase like 1 antibody; Aldose reductase like antibody; aldose reductase like peptide antibody; Aldose reductase related protein antibody; Aldose reductase-like antibody; Aldose reductase-related protein antibody; ALDRLn antibody; ARL 1 antibody; ARL-1 antibody; ARL1 antibody; ARL1 Human small intestine reductase antibody; ARP antibody; hARP antibody; HIS antibody; HSI antibody; SI reductase antibody; Small intestine reductase antibody |
| Immunogen Description | Recombinant Human Aldo-keto reductase family 1 member B10 protein (1-316AA) |
| Immunogen Species | Human |
| Immunogen Sequence | Complete sequences for the immunogen, target protein, and peptides are available upon request. |
| Conjugate | Non-conjugated |
| Clonality | Polyclonal |
| Isotype | IgG |
| Purification Method | Antigen affinity purified |
| Buffer | PBS with 0.02% sodium azide, 50% glycerol, pH7.3. |
| Form | Liquid |
| Application | ELISA, WB, IHC |
| Storage Conditions | Upon receipt, store at -20°C or -80°C. Avoid repeated freeze. |
