Rabbit anti-Human AGAP2 Polyclonal Antibody
Beta LifeScience
SKU/CAT #: BLC-03367A
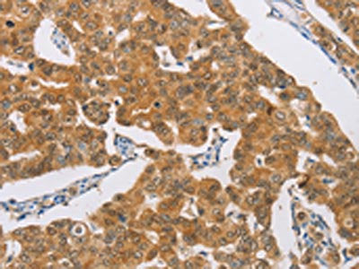
The image on the left is immunohistochemistry of paraffin-embedded Human breast cancer tissue using the antibody Antibody) at dilution 1/30, on the right is treated with synthetic peptide. (Original magnification: ×200)
The image on the left is immunohistochemistry of paraffin-embedded Human gastric cancer tissue using AGAP2 Antibody(AGAP2 Antibody) at dilution 1/30, on the right is treated with synthetic peptide. (Original magnification: ×200)
Gel: 6%SDS-PAGE, Lysate: 40 μg, Lane: Hela cells, Primary antibody: AGAP2 Antibody(AGAP2 Antibody) at dilution 1/700, Secondary antibody: Goat anti rabbit IgG at 1/8000 dilution, Exposure time: 40 seconds
Rabbit anti-Human AGAP2 Polyclonal Antibody
Beta LifeScience
SKU/CAT #: BLC-03367A
Our products are highly customizable to meet your specific needs. You can choose options such as endotoxin removal, liquid or lyophilized forms, preferred tags, and the desired functional sequence range for proteins. Submitting a written inquiry expedites the quoting process.
Product Overview
| Product Title | Rabbit anti-Human AGAP2 Polyclonal Antibody |
| Description | The antibody against AGAP2 was raised in rabbit using the Synthetic peptide of Human AGAP2 as the immunogen. This antibody exists as a non-conjugated isotype IgG, Antigen affinity purified. This antibody has been validated on ELISA, WB, IHC. |
| Uniprot Id - Alink | Q99490 |
| Host Species | Rabbit |
| Reactivity | Human |
| Target Name | AGAP2 |
| Target Synonyms | AGAP-2 antibody; Agap2 antibody; Agap2 ArfGAP with GTPase domain; ankyrin repeat and PH domain 2 antibody; AGAP2_HUMAN antibody; ANK repeat and PH domains 2 antibody; Arf GAP with GTP binding protein like antibody; Arf GAP with GTP-binding protein-like; ANK repeat and PH domains 2 antibody; Arf GAP with GTP-binding protein-like; ankyrin repeat and pleckstrin homology domains 2 antibody; Arf-GAP with GTPase; ANK repeat and PH domain-containing protein 2 antibody; ArfGAP with GTPase domain; ankyrin repeat and PH domain 2 antibody; Centaurin gamma 1 antibody; centaurin gamma1 antibody; Centaurin-gamma-1 antibody; Centg1 antibody; cnt g1 antibody; Cnt-g1 antibody; Cnt2 antibody; FLJ16430 antibody; GGAP2 antibody; GTP binding and GTPase activating protein 2 antibody; GTP-binding and GTPase activating protein 2 antibody; GTP-binding and GTPase-activating protein 2 antibody; KIAA0167 antibody; mKIAA0167 antibody; Nuclear GTPase PIKE antibody; Phosphatidylinositol 3-kinase enhancer antibody; Phosphoinositide 3 kinase enhancer antibody; PI3K ENHANCER antibody; PIKE antibody |
| Immunogen Description | Synthetic peptide of Human AGAP2 |
| Immunogen Species | Human |
| Immunogen Sequence | Complete sequences for the immunogen, target protein, and peptides are available upon request. |
| Conjugate | Non-conjugated |
| Clonality | Polyclonal |
| Isotype | IgG |
| Purification Method | Antigen affinity purified |
| Buffer | pH7.4 PBS, 0.05% NaN3, 40% Glycerol |
| Form | Liquid |
| Application | ELISA, WB, IHC |
| Storage Conditions | Upon receipt, store at -20°C or -80°C. Avoid repeated freeze. |
