Rabbit anti-Human ACE Polyclonal Antibody
Beta LifeScience
SKU/CAT #: BLC-03455A
The image on the left is immunohistochemistry of paraffin-embedded Human cervical cancer tissue using the antibody Antibody) at dilution 1/80, on the right is treated with synthetic peptide. (Original magnification: ×200)
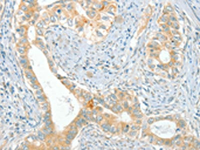
The image on the left is immunohistochemistry of paraffin-embedded Human breast cancer tissue using ACE Antibody(ACE Antibody) at dilution 1/80, on the right is treated with synthetic peptide. (Original magnification: ×200)
Gel: 10%SDS-PAGE, Lysate: 40 μg, Lane 1-3: Human ileum adenocarcinoma tissue, Human testis tissue, Human prostate tissue, Primary antibody: ACE Antibody(ACE Antibody) at dilution 1/270, Secondary antibody: Goat anti rabbit IgG at 1/8000 dilution, Exposure time: 10 seconds
Rabbit anti-Human ACE Polyclonal Antibody
Beta LifeScience
SKU/CAT #: BLC-03455A
Our products are highly customizable to meet your specific needs. You can choose options such as endotoxin removal, liquid or lyophilized forms, preferred tags, and the desired functional sequence range for proteins. Submitting a written inquiry expedites the quoting process.
Product Overview
| Product Title | Rabbit anti-Human ACE Polyclonal Antibody |
| Description | The antibody against ACE was raised in rabbit using the Synthetic peptide of Human ACE as the immunogen. This antibody exists as a non-conjugated isotype IgG, Antigen affinity purified. This antibody has been validated on ELISA, WB, IHC. |
| Uniprot Id - Alink | P12821 |
| Host Species | Rabbit |
| Reactivity | Human, Mouse, Rat |
| Target Name | ACE |
| Target Synonyms | ACE 1 antibody; ACE antibody; ACE T antibody; ACE_HUMAN antibody; ACE1 antibody; Angiotensin converting enzyme somatic isoform antibody; Angiotensin converting enzyme testis specific isoform antibody; Angiotensin I converting enzyme 1 antibody; Angiotensin I converting enzyme antibody; Angiotensin I converting enzyme peptidyl dipeptidase A 1 antibody; angiotensin I converting enzyme peptidyl-dipeptidase A 1 transcript antibody; Angiotensin-converting enzyme antibody; Carboxycathepsin antibody; CD 143 antibody; CD143 antibody; CD143 antigen antibody; DCP 1 antibody; DCP antibody; DCP1 antibody; Dipeptidyl carboxypeptidase 1 antibody; Dipeptidyl carboxypeptidase I antibody; Kininase II antibody; MGC26566 antibody; MVCD3 antibody; Peptidase P antibody; Peptidyl dipeptidase A antibody; soluble form antibody; Testicular ECA antibody |
| Immunogen Description | Synthetic peptide of Human ACE |
| Immunogen Species | Human |
| Immunogen Sequence | Complete sequences for the immunogen, target protein, and peptides are available upon request. |
| Conjugate | Non-conjugated |
| Clonality | Polyclonal |
| Isotype | IgG |
| Purification Method | Antigen affinity purified |
| Buffer | pH7.4 PBS, 0.05% NaN3, 40% Glycerol |
| Form | Liquid |
| Application | ELISA, WB, IHC |
| Storage Conditions | Upon receipt, store at -20°C or -80°C. Avoid repeated freeze. |
