Rabbit anti-Human ACAA2 Polyclonal Antibody
Beta LifeScience
SKU/CAT #: BLC-04460A
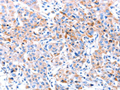
The image on the left is immunohistochemistry of paraffin-embedded Human thyroid cancer tissue using the antibody Antibody) at dilution 1/20, on the right is treated with fusion protein. (Original magnification: ×200)
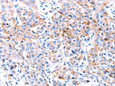
The image on the left is immunohistochemistry of paraffin-embedded Human lung cancer tissue using ACAA2 Antibody(ACAA2 Antibody) at dilution 1/20, on the right is treated with fusion protein. (Original magnification: ×200)
Gel: 10%SDS-PAGE, Lysate: 40 μg, Lane 1-5: Hela cells, A549 cells, NIH/3T3 cells, A172 cells, human liver cancer tissue, Primary antibody: ACAA2 Antibody(ACAA2 Antibody) at dilution 1/225, Secondary antibody: Goat anti rabbit IgG at 1/8000 dilution, Exposure time: 20 seconds
Rabbit anti-Human ACAA2 Polyclonal Antibody
Beta LifeScience
SKU/CAT #: BLC-04460A
Our products are highly customizable to meet your specific needs. You can choose options such as endotoxin removal, liquid or lyophilized forms, preferred tags, and the desired functional sequence range for proteins. Submitting a written inquiry expedites the quoting process.
Product Overview
| Product Title | Rabbit anti-Human ACAA2 Polyclonal Antibody |
| Description | The antibody against ACAA2 was raised in rabbit using the Fusion protein of Human ACAA2 as the immunogen. This antibody exists as a non-conjugated isotype IgG, Antigen affinity purified. This antibody has been validated on ELISA, WB, IHC. |
| Uniprot Id - Alink | P42765 |
| Host Species | Rabbit |
| Reactivity | Human, Mouse, Rat |
| Target Name | ACAA2 |
| Target Synonyms | 3 ketoacyl CoA thiolase antibody; 3 ketoacyl CoA thiolase mitochondrial antibody; 3-ketoacyl-CoA thiolase, mitochondrial antibody; 3-oxoacyl-CoA thiolase, mitochondrial antibody; ACAA 2 antibody; Acaa2 antibody; Acetyl CoA acyltransferase 2 antibody; Acetyl CoA acyltransferase antibody; Acetyl Coenzyme A acyltransferase 2 antibody; Acetyl-CoA acyltransferase antibody; Beta ketothiolase antibody; Beta-ketothiolase antibody; DSAEC antibody; Mitochondrial 3 oxoacyl CoA thiolase antibody; Mitochondrial 3 oxoacyl Coenzyme A thiolase antibody; Mitochondrial 3-oxoacyl-CoA thiolase antibody; T1 antibody; THIM_HUMAN antibody |
| Immunogen Description | Fusion protein of Human ACAA2 |
| Immunogen Species | Human |
| Immunogen Sequence | Complete sequences for the immunogen, target protein, and peptides are available upon request. |
| Conjugate | Non-conjugated |
| Clonality | Polyclonal |
| Isotype | IgG |
| Purification Method | Antigen affinity purified |
| Buffer | pH7.4 PBS, 0.05% NaN3, 40% Glycerol |
| Form | Liquid |
| Application | ELISA, WB, IHC |
| Storage Conditions | Upon receipt, store at -20°C or -80°C. Avoid repeated freeze. |
