Rabbit anti-Human AARS2 Polyclonal Antibody

Beta LifeScience SKU/CAT #: BLC-04831A
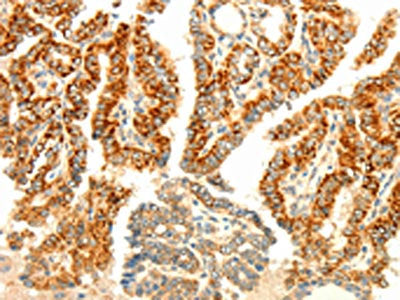
The image on the left is immunohistochemistry of paraffin-embedded Human thyroid cancer tissue using the antibody Antibody) at dilution 1/80, on the right is treated with fusion protein. (Original magnification: ×200)
The image on the left is immunohistochemistry of paraffin-embedded Human thyroid cancer tissue using the antibody Antibody) at dilution 1/80, on the right is treated with fusion protein. (Original magnification: ×200)
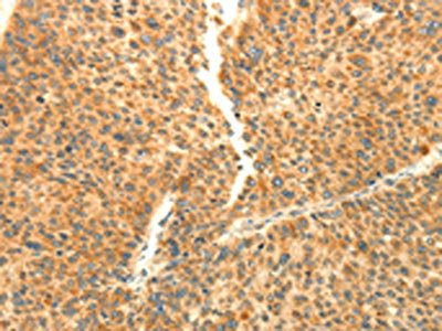
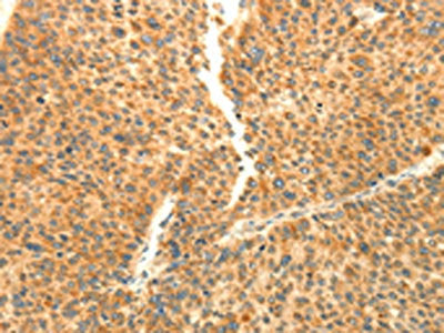
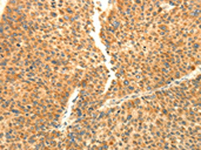
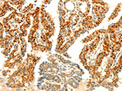
The image on the left is immunohistochemistry of paraffin-embedded Human liver cancer tissue using AARS2 Antibody(AARS2 Antibody) at dilution 1/80, on the right is treated with fusion protein. (Original magnification: ×200)
The image on the left is immunohistochemistry of paraffin-embedded Human liver cancer tissue using AARS2 Antibody(AARS2 Antibody) at dilution 1/80, on the right is treated with fusion protein. (Original magnification: ×200)
Gel: 8%SDS-PAGE, Lysate: 40 μg, Lane: SP20 cells, Primary antibody: AARS2 Antibody(AARS2 Antibody) at dilution 1/1200, Secondary antibody: Goat anti rabbit IgG at 1/8000 dilution, Exposure time: 15 seconds
Gel: 8%SDS-PAGE, Lysate: 40 μg, Lane: SP20 cells, Primary antibody: AARS2 Antibody(AARS2 Antibody) at dilution 1/1200, Secondary antibody: Goat anti rabbit IgG at 1/8000 dilution, Exposure time: 15 seconds

Rabbit anti-Human AARS2 Polyclonal Antibody

Beta LifeScience SKU/CAT #: BLC-04831A
Our products are highly customizable to meet your specific needs. You can choose options such as endotoxin removal, liquid or lyophilized forms, preferred tags, and the desired functional sequence range for proteins. Submitting a written inquiry expedites the quoting process.

Submit an inquiry today to inquire about all available size options and prices! Connect with us via the live chat in the bottom corner to receive immediate assistance.

Product Overview

Product Title Rabbit anti-Human AARS2 Polyclonal Antibody
Description The antibody against AARS2 was raised in rabbit using the Fusion protein of Human AARS2 as the immunogen. This antibody exists as a non-conjugated isotype IgG, Antigen affinity purified. This antibody has been validated on ELISA, WB, IHC.
Uniprot Id - Alink Q5JTZ9
Host Species Rabbit
Reactivity Human, Mouse, Rat
Target Name AARS2
Target Synonyms AARS2 antibody; AARSL antibody; KIAA1270 antibody; Alanine--tRNA ligase antibody; mitochondrial antibody; EC 6.1.1.7 antibody; Alanyl-tRNA synthetase antibody; AlaRS antibody
Immunogen Description Fusion protein of Human AARS2
Immunogen Species Human
Immunogen Sequence Complete sequences for the immunogen, target protein, and peptides are available upon request.
Conjugate Non-conjugated
Clonality Polyclonal
Isotype IgG
Purification Method Antigen affinity purified
Buffer pH7.4 PBS, 0.05% NaN3, 40% Glycerol
Form Liquid
Application ELISA, WB, IHC
Storage Conditions Upon receipt, store at -20°C or -80°C. Avoid repeated freeze.

FAQs

Please fill out the Online Inquiry form located on the product page. Key product information has been pre-populated. You may also email your questions and inquiry requests to sales1@betalifesci.com. We will do our best to get back to you within 4 business hours.

Feel free to use the Chat function to initiate a live chat. Our customer representative can provide you with a quote immediately.

Proteins are sensitive to heat, and freeze-drying can preserve the activity of the majority of proteins. It improves protein stability, extends storage time, and reduces shipping costs. However, freeze-drying can also lead to the loss of the active portion of the protein and cause aggregation and denaturation issues. Nonetheless, these adverse effects can be minimized by incorporating protective agents such as stabilizers, additives, and excipients, and by carefully controlling various lyophilization conditions.

Commonly used protectant include saccharides, polyols, polymers, surfactants, some proteins and amino acids etc. We usually add 8% (mass ratio by volume) of trehalose and mannitol as lyoprotectant. Trehalose can significantly prevent the alter of the protein secondary structure, the extension and aggregation of proteins during freeze-drying process; mannitol is also a universal applied protectant and fillers, which can reduce the aggregation of certain proteins after lyophilization.

Our protein products do not contain carrier protein or other additives (such as bovine serum albumin (BSA), human serum albumin (HSA) and sucrose, etc., and when lyophilized with the solution with the lowest salt content, they often cannot form A white grid structure, but a small amount of protein is deposited in the tube during the freeze-drying process, forming a thin or invisible transparent protein layer.

Reminder: Before opening the tube cap, we recommend that you quickly centrifuge for 20-30 seconds in a small centrifuge, so that the protein attached to the tube cap or the tube wall can be aggregated at the bottom of the tube. Our quality control procedures ensure that each tube contains the correct amount of protein, and although sometimes you can't see the protein powder, the amount of protein in the tube is still very precise.

To learn more about how to properly dissolve the lyophilized recombinant protein, please visit Lyophilization FAQs.

Recently viewed