Histone H3.1 Recombinant Monoclonal Antibody
Beta LifeScience
SKU/CAT #: BLC-06504A
Western Blot | Positive WB detected in Jurkat whole cell lysate | All lanes Histone H3.1 antibody at 1.5μg/ml | Secondary | Goat polyclonal to rabbit IgG at 1/50000 dilution | Predicted band size: 15 KDa | Observed band size: 15 KDa
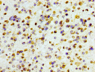
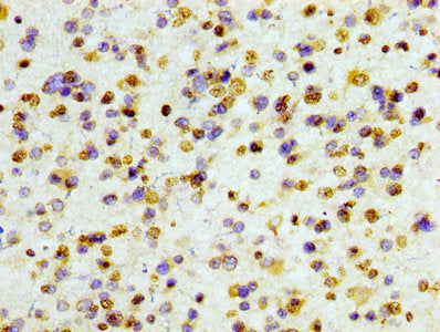
IHC image of Histone H3.1 Recombinant Monoclonal Antibody diluted at 1:100 and staining in paraffin-embedded human glioma cancer performed on a Leica BondTM system. After dewaxing and hydration, antigen retrieval was mediated by high pressure in a citrate buffer (pH 6.0). Section was blocked with 10% normal goat serum 30min at RT. Then primary antibody (1% BSA) was incubated at 4℃ overnight. The primary is detected by a biotinylated secondary antibody and visualized using an HRP conjugated SP system.
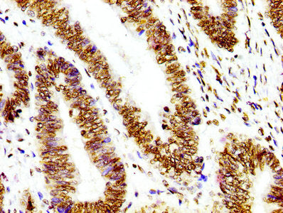
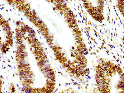
IHC image of Histone H3.1 Recombinant Monoclonal Antibody diluted at 1:100 and staining in paraffin-embedded human colon cancer performed on a Leica BondTM system. After dewaxing and hydration, antigen retrieval was mediated by high pressure in a citrate buffer (pH 6.0). Section was blocked with 10% normal goat serum 30min at RT. Then primary antibody (1% BSA) was incubated at 4℃ overnight. The primary is detected by a biotinylated secondary antibody and visualized using an HRP conjugated SP system.
Histone H3.1 Recombinant Monoclonal Antibody
Beta LifeScience
SKU/CAT #: BLC-06504A
Our products are highly customizable to meet your specific needs. You can choose options such as endotoxin removal, liquid or lyophilized forms, preferred tags, and the desired functional sequence range for proteins. Submitting a written inquiry expedites the quoting process.
Product Overview
| Product Title | Histone H3.1 Recombinant Monoclonal Antibody |
| Description | The recombinant antibody against HIST1H3A was produced using a synthesized peptide as the immunogen. This antibody exists as a non-conjugated isotype Rabbit IgG, Affinity-chromatography purified. This antibody has been validated on ELISA, WB, IHC, IF, FC. |
| Uniprot Id - Alink | P68431 |
| Reactivity | Human |
| Target Name | HIST1H3A |
| Target Synonyms | H3 histone family member E pseudogene antibody; H3 histone family; member A antibody; H3/A antibody; H31_HUMAN antibody; H3F3 antibody; H3FA antibody; Hist1h3a antibody; HIST1H3B antibody; HIST1H3C antibody; HIST1H3D antibody; HIST1H3E antibody; HIST1H3F antibody; HIST1H3G antibody; HIST1H3H antibody; HIST1H3I antibody; HIST1H3J antibody; HIST3H3 antibody; histone 1; H3a antibody; Histone cluster 1; H3a antibody; Histone H3 3 pseudogene antibody; Histone H3.1 antibody; Histone H3/a antibody; Histone H3/b antibody; Histone H3/c antibody; Histone H3/d antibody; Histone H3/f antibody; Histone H3/h antibody; Histone H3/i antibody; Histone H3/j antibody; Histone H3/k antibody; Histone H3/l antibody |
| Immunogen Description | A synthesized peptide |
| Immunogen Species | Human |
| Immunogen Sequence | Complete sequences for the immunogen, target protein, and peptides are available upon request. |
| Conjugate | Non-conjugated |
| Clonality | Monoclonal |
| Isotype | Rabbit IgG |
| Purification Method | Affinity-chromatography purified |
| Buffer | Rabbit IgG in phosphate buffered saline, pH 7.4, 150mM NaCl, 0.02% sodium azide and 50% glycerol. |
| Form | Liquid |
| Application | ELISA, WB, IHC, IF, FC |
| Storage Conditions | Upon receipt, store at -20°C or -80°C. Avoid repeated freeze. |
