HDAC3 Recombinant Monoclonal Antibody
Beta LifeScience
SKU/CAT #: BLC-06720A
Western Blot | Positive WB detected in: Hela whole cell lysate, HL60 whole cell lysate, U251 whole cell lysate, K562 whole cell lysate, 293T whole cell lysate | All lanes: HDAC3 antibody at 1:2000 | Secondary | Goat polyclonal to rabbit IgG at 1/50000 dilution | Predicted band size: 49, 50 kDa | Observed band size: 49 kDa
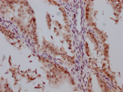
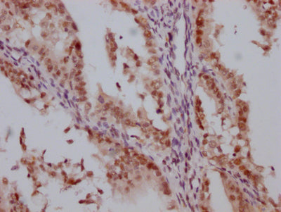
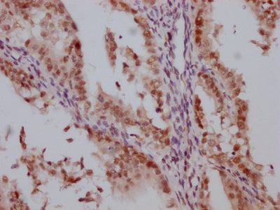
IHC image of HDAC3 Recombinant Monoclonal Antibody diluted at 1:100 and staining in paraffin-embedded human endometrial cancer performed on a Leica BondTM system. After dewaxing and hydration, antigen retrieval was mediated by high pressure in a citrate buffer (pH 6.0). Section was blocked with 10% normal goat serum 30min at RT. Then primary antibody (1% BSA) was incubated at 4℃ overnight. The primary is detected by a Goat anti-rabbit IgG polymer labeled by HRP and visualized using 0.05% DAB.
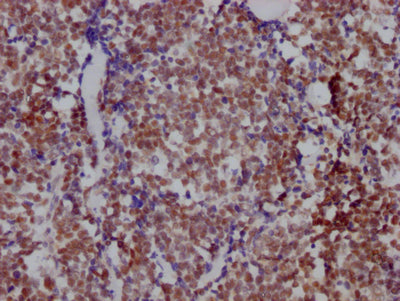
IHC image of HDAC3 Recombinant Monoclonal Antibody diluted at 1:100 and staining in paraffin-embedded human lung cancer performed on a Leica BondTM system. After dewaxing and hydration, antigen retrieval was mediated by high pressure in a citrate buffer (pH 6.0). Section was blocked with 10% normal goat serum 30min at RT. Then primary antibody (1% BSA) was incubated at 4℃ overnight. The primary is detected by a Goat anti-rabbit IgG polymer labeled by HRP and visualized using 0.05% DAB.
HDAC3 Recombinant Monoclonal Antibody
Beta LifeScience
SKU/CAT #: BLC-06720A
Our products are highly customizable to meet your specific needs. You can choose options such as endotoxin removal, liquid or lyophilized forms, preferred tags, and the desired functional sequence range for proteins. Submitting a written inquiry expedites the quoting process.
Product Overview
| Product Title | HDAC3 Recombinant Monoclonal Antibody |
| Description | The recombinant antibody against HDAC3 was produced using a synthesized peptide derived from human HDAC3 as the immunogen. This antibody exists as a non-conjugated isotype Rabbit IgG, Affinity-chromatography purified. This antibody has been validated on ELISA, WB, IHC. |
| Uniprot Id - Alink | O15379 |
| Reactivity | Human |
| Target Name | HDAC3 |
| Target Synonyms | Histone deacetylase 3 (HD3) (EC 3.5.1.98) (RPD3-2) (SMAP45), HDAC3 |
| Immunogen Description | A synthesized peptide derived from human HDAC3 |
| Immunogen Species | Human |
| Immunogen Sequence | Complete sequences for the immunogen, target protein, and peptides are available upon request. |
| Conjugate | Non-conjugated |
| Clonality | Monoclonal |
| Isotype | Rabbit IgG |
| Purification Method | Affinity-chromatography purified |
| Buffer | Rabbit IgG in phosphate buffered saline, pH 7.4, 150mM NaCl, 0.02% sodium azide and 50% glycerol. |
| Form | Liquid |
| Application | ELISA, WB, IHC |
| Storage Conditions | Upon receipt, store at -20°C or -80°C. Avoid repeated freeze. |
