GPI Recombinant Monoclonal Antibody
Beta LifeScience
SKU/CAT #: BLC-06572A
Western Blot | Positive WB detected in: A549 whole cell lysate, U251 whole cell lysate,MCF7 whole cell lysate,HELA whole cell lysate,PC-3 whole cell lysate | All lanes: Glucose 6 phosphate isomerase antibody at 1:1000 | Secondary | Goat polyclonal to rabbit IgG at 1/50000 dilution | Predicted band size: 63 kDa | Observed band size: 63 kDa
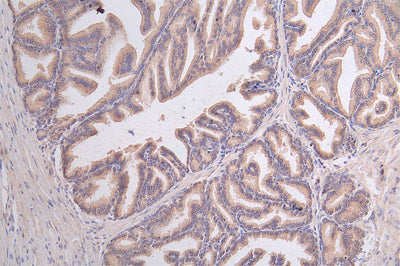
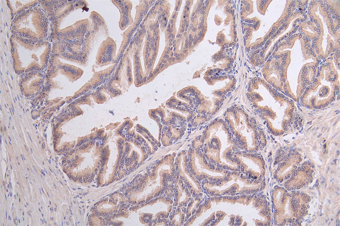
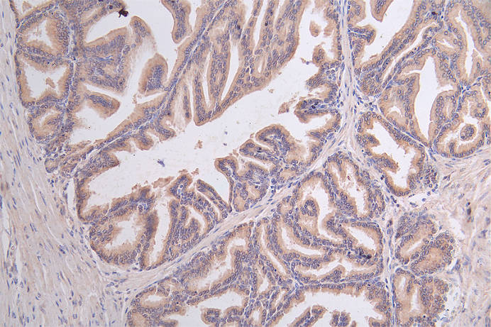
IHC image of GPI Recombinant Monoclonal Antibody diluted at 1:50 and staining in paraffin-embedded human prostate tissue performed on a Leica BondTM system. After dewaxing and hydration, antigen retrieval was mediated by high pressure in a citrate buffer (pH 6.0). Section was blocked with 10% normal goat serum 30min at RT. Then primary antibody (1% BSA) was incubated at 4°C overnight. The primary is detected by a Goat anti-rabbit polymer IgG labeled by HRP and visualized using 0.45% DAB.
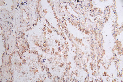
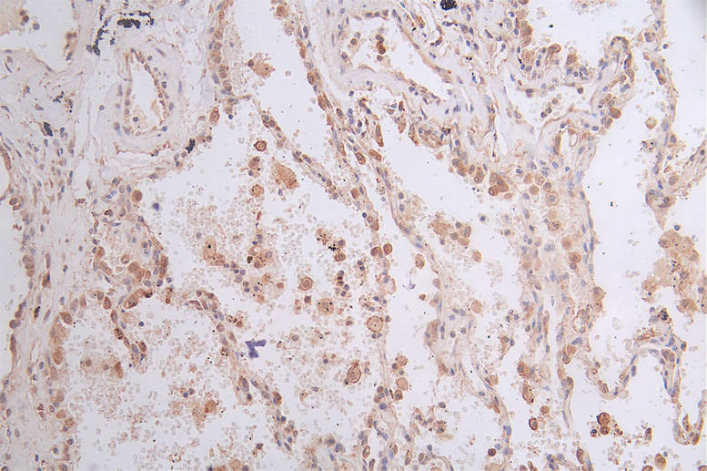
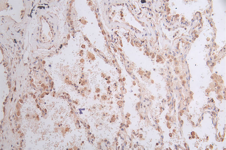
IHC image of GPI Recombinant Monoclonal Antibody diluted at 1:50 and staining in paraffin-embedded human lung cancer performed on a Leica BondTM system. After dewaxing and hydration, antigen retrieval was mediated by high pressure in a citrate buffer (pH 6.0). Section was blocked with 10% normal goat serum 30min at RT. Then primary antibody (1% BSA) was incubated at 4°C overnight. The primary is detected by a Goat anti-rabbit polymer IgG labeled by HRP and visualized using 0.45% DAB.
GPI Recombinant Monoclonal Antibody
Beta LifeScience
SKU/CAT #: BLC-06572A
Our products are highly customizable to meet your specific needs. You can choose options such as endotoxin removal, liquid or lyophilized forms, preferred tags, and the desired functional sequence range for proteins. Submitting a written inquiry expedites the quoting process.
Product Overview
| Product Title | GPI Recombinant Monoclonal Antibody |
| Description | The recombinant antibody against GPI was produced using a synthesized peptide derived from Human GPI as the immunogen. This antibody exists as a non-conjugated isotype Rabbit IgG, Affinity-chromatography purified. This antibody has been validated on ELISA, WB, IHC, FC. |
| Uniprot Id - Alink | P06744 |
| Reactivity | Human |
| Target Name | GPI |
| Target Synonyms | Glucose-6-phosphate isomerase (GPI) (EC 5.3.1.9) (Autocrine motility factor) (AMF) (Neuroleukin) (NLK) (Phosphoglucose isomerase) (PGI) (Phosphohexose isomerase) (PHI) (Sperm antigen 36) (SA-36), GPI |
| Immunogen Description | A synthesized peptide derived from Human GPI |
| Immunogen Species | Human |
| Immunogen Sequence | Complete sequences for the immunogen, target protein, and peptides are available upon request. |
| Conjugate | Non-conjugated |
| Clonality | Monoclonal |
| Isotype | Rabbit IgG |
| Purification Method | Affinity-chromatography purified |
| Buffer | Rabbit IgG in phosphate buffered saline, pH 7.4, 150mM NaCl, 0.02% sodium azide and 50% glycerol. |
| Form | Liquid |
| Application | ELISA, WB, IHC, FC |
| Storage Conditions | Upon receipt, store at -20°C or -80°C. Avoid repeated freeze. |
