FUBP1 Recombinant Monoclonal Antibody
Beta LifeScience
SKU/CAT #: BLC-06711A
Western Blot | Positive WB detected in: Jurkat whole cell lysate, K562 whole cell lysate, Hela whole cell lysate, Raji whole cell lysate, HepG2 whole cell lysate | All lanes: FUBP1 antibody at 1:2000 | Secondary | Goat polyclonal to rabbit IgG at 1/50000 dilution | Predicted band size: 68, 69 kDa | Observed band size: 69 kDa
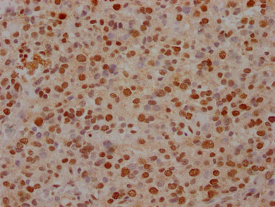
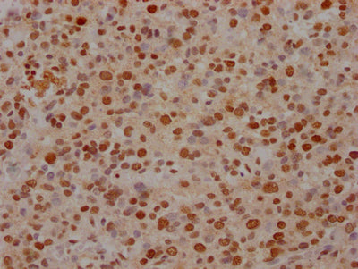
IHC image of FUBP1 Recombinant Monoclonal Antibody diluted at 1:100 and staining in paraffin-embedded human brain tissue performed on a Leica BondTM system. After dewaxing and hydration, antigen retrieval was mediated by high pressure in a citrate buffer (pH 6.0). Section was blocked with 10% normal goat serum 30min at RT. Then primary antibody (1% BSA) was incubated at 4℃ overnight. The primary is detected by a Goat anti-rabbit IgG polymer labeled by HRP and visualized using 0.05% DAB.
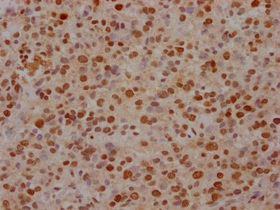
IHC image of FUBP1 Recombinant Monoclonal Antibody diluted at 1:100 and staining in paraffin-embedded human glioma cancer performed on a Leica BondTM system. After dewaxing and hydration, antigen retrieval was mediated by high pressure in a citrate buffer (pH 6.0). Section was blocked with 10% normal goat serum 30min at RT. Then primary antibody (1% BSA) was incubated at 4℃ overnight. The primary is detected by a Goat anti-rabbit IgG polymer labeled by HRP and visualized using 0.05% DAB.
FUBP1 Recombinant Monoclonal Antibody
Beta LifeScience
SKU/CAT #: BLC-06711A
Our products are highly customizable to meet your specific needs. You can choose options such as endotoxin removal, liquid or lyophilized forms, preferred tags, and the desired functional sequence range for proteins. Submitting a written inquiry expedites the quoting process.
Product Overview
| Product Title | FUBP1 Recombinant Monoclonal Antibody |
| Description | The recombinant antibody against FUBP1 was produced using a synthesized peptide derived from human FUBP1 as the immunogen. This antibody exists as a non-conjugated isotype Rabbit IgG, Affinity-chromatography purified. This antibody has been validated on ELISA, WB, IHC, IF, FC, IP. |
| Uniprot Id - Alink | Q96AE4 |
| Reactivity | Human |
| Target Name | FUBP1 |
| Target Synonyms | Far upstream element-binding protein 1 (FBP) (FUSE-binding protein 1) (DNA helicase V) (hDH V), FUBP1 |
| Immunogen Description | A synthesized peptide derived from human FUBP1 |
| Immunogen Species | Human |
| Immunogen Sequence | Complete sequences for the immunogen, target protein, and peptides are available upon request. |
| Conjugate | Non-conjugated |
| Clonality | Monoclonal |
| Isotype | Rabbit IgG |
| Purification Method | Affinity-chromatography purified |
| Buffer | Rabbit IgG in phosphate buffered saline, pH 7.4, 150mM NaCl, 0.02% sodium azide and 50% glycerol. |
| Form | Liquid |
| Application | ELISA, WB, IHC, IF, FC, IP |
| Storage Conditions | Upon receipt, store at -20°C or -80°C. Avoid repeated freeze. |
