FTO Recombinant Monoclonal Antibody
Beta LifeScience
SKU/CAT #: BLC-06474A
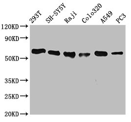
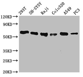
Western Blot | Positive WB detected in: 293T whole cell lysate, SH-SY5Y whole cell lysate, Raji whole cell lysate, Colo320 whole cell lysate, A549 whole cell lysate, PC3 whole cell lysate | All lanes: FTO antibody at 0.7μg/ml | Secondary | Goat polyclonal to rabbit IgG at 1/50000 dilution | Predicted band size: 59, 15, 7, 13 KDa | Observed band size: 59 KDa
IHC image of FTO Recombinant Monoclonal Antibody diluted at 1:70 and staining in paraffin-embedded human glioma cancer performed on a Leica BondTM system. After dewaxing and hydration, antigen retrieval was mediated by high pressure in a citrate buffer (pH 6.0). Section was blocked with 10% normal goat serum 30min at RT. Then primary antibody (1% BSA) was incubated at 4℃ overnight. The primary is detected by a biotinylated secondary antibody and visualized using an HRP conjugated SP system.
IHC image of FTO Recombinant Monoclonal Antibody diluted at 1:70 and staining in paraffin-embedded human skeletal muscle tissue performed on a Leica BondTM system. After dewaxing and hydration, antigen retrieval was mediated by high pressure in a citrate buffer (pH 6.0). Section was blocked with 10% normal goat serum 30min at RT. Then primary antibody (1% BSA) was incubated at 4℃ overnight. The primary is detected by a biotinylated secondary antibody and visualized using an HRP conjugated SP system.
FTO Recombinant Monoclonal Antibody
Beta LifeScience
SKU/CAT #: BLC-06474A
Our products are highly customizable to meet your specific needs. You can choose options such as endotoxin removal, liquid or lyophilized forms, preferred tags, and the desired functional sequence range for proteins. Submitting a written inquiry expedites the quoting process.
Product Overview
| Product Title | FTO Recombinant Monoclonal Antibody |
| Description | The recombinant antibody against FTO was produced using a synthesized peptide derived from human FTO as the immunogen. This antibody exists as a non-conjugated isotype Rabbit IgG, Affinity-chromatography purified. This antibody has been validated on ELISA, WB, IHC, IF. |
| Uniprot Id - Alink | Q9C0B1 |
| Reactivity | Human |
| Target Name | FTO |
| Target Synonyms | AlkB homolog 9 antibody; ALKBH9 antibody; Alpha-ketoglutarate-dependent dioxygenase FTO antibody; AW743446 antibody; Fat mass and obesity-associated protein antibody; FATSO; MOUSE; HOMOLOG OF antibody; Fto antibody; FTO_HUMAN antibody; GDFD antibody; KIAA1752 antibody; mKIAA1752 antibody; Protein fatso antibody |
| Immunogen Description | A synthesized peptide derived from human FTO |
| Immunogen Species | Human |
| Immunogen Sequence | Complete sequences for the immunogen, target protein, and peptides are available upon request. |
| Conjugate | Non-conjugated |
| Clonality | Monoclonal |
| Isotype | Rabbit IgG |
| Purification Method | Affinity-chromatography purified |
| Buffer | Rabbit IgG in phosphate buffered saline , pH 7.4, 150mM NaCl, 0.02% sodium azide and 50% glycerol. |
| Form | Liquid |
| Application | ELISA, WB, IHC, IF |
| Storage Conditions | Upon receipt, store at -20°C or -80°C. Avoid repeated freeze. |
